• Tel: 858.663.9055
  • SeparatorEmail: info@nsjbio.com
  • Tel: 858.663.9055
  • Email: info@nsjbio.com
Home >> Antibodies >> HSPA9 Antibody / GRP75

HSPA9 Antibody / GRP75 [clone 4I9] (RQ6731)

  Catalog No Formulation Size Price (USD)  
Image RQ6731 0.5mg/ml if reconstituted with 0.2ml sterile DI water 100 ug 449
Bulk quote request
Immunofluorescent staining of FFPE human Caco-2 cells with HSPA9 antibody (green) and DAPI nuclear stain (blue). HIER: steam section in pH6 citrate buffer for 20 min.
IHC staining of FFPE human lymphadenoma tissue with HSPA9 antibody. HIER: boil tissue sections in pH8 EDTA for 20 min and allow to cool before testing.
IHC staining of FFPE human gastric cancer tissue with HSPA9 antibody. HIER: boil tissue sections in pH8 EDTA for 20 min and allow to cool before testing.
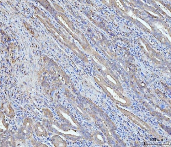
IHC staining of FFPE human appendiceal adenocarcinoma tissue with HSPA9 antibody. HIER: boil tissue sections in pH8 EDTA for 20 min and allow to cool before testing.
IHC staining of FFPE human gall bladder adenosquamous carcinoma tissue with HSPA9 antibody. HIER: boil tissue sections in pH8 EDTA for 20 min and allow to cool before testing.
Western blot testing of 1) human HeLa, 2) human HepG2, 3) rat brain, 4) rat lung, 5) rat PC-12, 6) mouse brain, 7) mouse lung and 8) mouse RAW264.7 cell lysate with HSPA9 antibody. Predicted molecular weight ~75 kDa.
Flow cytometry testing of human HepG2 cells with HSPA9 antibody at 1ug/million cells (blocked with goat sera); Red=cells alone, Green=isotype control, Blue= HSPA9 antibody.
Availability 1-3 business days
Species Reactivity Human, Mouse, Rat
Format Purified
Host Mouse
Clonality Monoclonal (mouse origin)
Isotype Mouse IgG1
Clone Name 4I9
Purity Affinity purified
Buffer Lyophilized from 1X PBS with 2% Trehalose
UniProt P38646
Localization Cytoplasmic
Applications Western Blot : 1-2ug/ml
Immunohistochemistry (FFPE) : 2-5ug/ml
Immunofluorescence (FFPE) : 5ug/ml
Flow Cytometry : 1-3ug/million cells
Limitations This HSPA9 antibody is available for research use only.
Review this product on BioCompare and get a $20 Amazon gift card

Related Products

  • Applications : WB, IHC-P, IHC-F, ICC
    Reactivity : Human, Mouse, Rat
  • Applications : WB, IHC-P, FACS, IF
    Reactivity : Human, Mouse, Rat

Description

HSPA9 (heat shock 70kDa protein 9 (mortalin)), also known as GRP75, mot-2, mthsp75, PBP74, HSPA9B, MORTALIN or MORTALIN, PERINUCLEAR, is a highly conserved member of the HSP70 family of proteins. It functions as a chaperone in the mitochondria, cytoplasm, and centrosome. The HSPA9 gene is mapped to chromosome 5q31.2 based on an alignment of the HSPA9 sequence with the genomic sequence. Knockdown of HSPA9 in erythroid cultures was associated with an increased number of cells in the G0/G1 phase of the cell cycle and accelerated apoptosis. Knockdown of Hspa9 in mouse bone marrow cells, followed by transplantation into wildtype recipients, also resulted in loss of erythroid cell number. Haploinsufficiency for HSPA9 may contribute to abnormal hematopoiesis in myelodysplastic syndromes. This protein plays a role in the control of cell proliferation.

Application Notes

Optimal dilution of the HSPA9 antibody should be determined by the researcher.

Immunogen

C-terminal region amino acids KLFEMAYKKMASEREGSGSSGTGEQKEDQKEEKQ from the human protein were used as the immunogen for the HSPA9 antibody.

Storage

After reconstitution, the HSPA9 antibody can be stored for up to one month at 4oC. For long-term, aliquot and store at -20oC. Avoid repeated freezing and thawing.

Cross
Bulk Quote Request Form
Name*:
Organization*:
Email*:
Phone Number*:
Catalog No.*:
Comments and Specifics(amount, formulation, etc.)*:
Validation code: Captchapackage Image


Can't read the image? click here to refresh.
    *required field

Your bulk quote request has been submitted successfully!

Please contact us if you have any questions.