- Tel: 858.663.9055
- 
									 Email: info@nsjbio.com Email: info@nsjbio.com
- Tel: 858.663.9055
- Email: info@nsjbio.com
 Email: info@nsjbio.com
Email: info@nsjbio.com
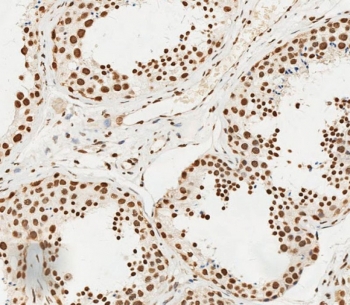
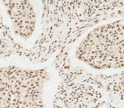
								The stated application concentrations are suggested starting points. Titration of the HSPA7 antibody may be required due to differences in protocols and secondary/substrate sensitivity.
A portion of amino acids 169-196 from the human protein was used as the immunogen for the HSPA7 antibody.
Aliquot the HSPA7 antibody and store frozen at -20oC or colder. Avoid repeated freeze-thaw cycles.
 
Your bulk quote request has been submitted successfully!
Please contact us if you have any questions.