• Tel: 858.663.9055
  • SeparatorEmail: info@nsjbio.com
  • Tel: 858.663.9055
  • Email: info@nsjbio.com
Home >> Antibodies >> HSPA6 Antibody / Heat shock 70 kDa protein 6

HSPA6 Antibody / Heat shock 70 kDa protein 6 (FY12438)

  Catalog No Formulation Size Price (USD)  
Image FY12438 Adding 0.2 ml of distilled water will yield a concentration of 500 ug/ml 100 ug 449
Bulk quote request
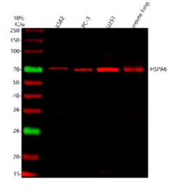
Western blot analysis of HSPA6 using anti-HSPA6 antibody. Lane 1: human K562 whole cell lysates, Lane 2: human PC-3 whole cell lysates, Lane 3: human U251 whole cell lysates, Lane 4: mouse lung tissue lysates. After electrophoresis, proteins were transferred to a nitrocellulose membrane at 150 mA for 50-90 minutes. Blocked the membrane with 5% non-fat milk/TBS for 1.5 hour at RT. The membrane was incubated with rabbit anti-HSPA6 antibody at 0.5 ug/ml overnight at 4oC, then washed with TBS-0.1%Tween 3 times with 5 minutes each and probed with a goat anti-rabbit IgG-DyLight 647 Conjugated secondary antibody at a dilution of 1:2000 for 1.5 hour at RT. The expected molecular weight of HSPA6 is ~71 kDa.
Western blot analysis of HSPA6 using anti-HSPA6 antibody. Lane 1: human K562 whole cell lysates, Lane 2: human PC-3 whole cell lysates, Lane 3: human HEL whole cell lysates. After electrophoresis, proteins were transferred to a nitrocellulose membrane at 150 mA for 50-90 minutes. Blocked the membrane with 5% non-fat milk/TBS for 1.5 hour at RT. The membrane was incubated with rabbit anti-HSPA6 antibody at 0.5 ug/ml overnight at 4oC, then washed with TBS-0.1%Tween 3 times with 5 minutes each and probed with a goat anti-rabbit IgG-HRP secondary antibody at a dilution of 1:5000 for 1.5 hour at RT. The signal was developed using enhanced chemiluminescent. The expected molecular weight of HSPA6 is ~71 kDa.
Flow Cytometry analysis of PC-3 cells using anti-HSPA6 antibody. Overlay histogram showing PC-3 cells stained with (Blue line). To facilitate intracellular staining, cells were fixed with 4% paraformaldehyde and permeabilized with permeabilization buffer. The cells were blocked with 10% normal goat serum. And then incubated with rabbit anti-HSPA6 antibody (1 ug/million cells) for 30 min at 20oC. DyLight 488 conjugated goat anti-rabbit IgG (5-10 ug/million cells) was used as secondary antibody for 30 minutes at 20oC. Isotype control antibody (Green line) was rabbit IgG (1 ug/million cells) used under the same conditions. Unlabelled sample without incubation with primary antibody and secondary antibody (Red line) was used as a blank control.
Availability 1-2 days
Species Reactivity Human
Format Lyophilized
Host Rabbit
Clonality Polyclonal (rabbit origin)
Isotype Rabbit IgG
Purity Immunogen affinity purified
Buffer Each vial contains 4 mg Trehalose, 0.9 mg NaCl, 0.2 mg Na2HPO4.
UniProt P17066
Applications Western Blot : 0.25-0.5ug/ml
Flow Cytometry : 1-3ug/million cells
Limitations This HSPA6 antibody is available for research use only.
Review this product on BioCompare and get a $20 Amazon gift card

Description

HSPA6 antibody detects Heat shock 70 kDa protein 6, a stress-inducible molecular chaperone that belongs to the HSP70 family of heat shock proteins. The UniProt recommended name is Heat shock 70 kDa protein 6 (HSPA6). This protein is rapidly upregulated in response to heat shock, oxidative stress, and heavy metal exposure, where it assists in refolding denatured proteins and protecting cells from proteotoxic damage.

Functionally, HSPA6 antibody identifies a 646-amino-acid cytoplasmic and nuclear chaperone that binds unfolded or misfolded polypeptides to prevent aggregation and promote refolding. HSPA6 operates through an ATP-dependent mechanism, alternating between substrate-binding and release cycles coordinated by its nucleotide-binding and substrate-binding domains. Unlike constitutive HSP70 family members, HSPA6 expression is strictly inducible and transient, making it a sensitive marker of acute cellular stress. It cooperates with co-chaperones such as HSP40 and nucleotide exchange factors to restore proteostasis during recovery from stress.

The HSPA6 gene is located on chromosome 1q23.3 and is transcriptionally regulated by heat shock factor 1 (HSF1). Expression is strongly induced by thermal stress and other cytotoxic insults in epithelial, neuronal, and endothelial cells. Under normal physiological conditions, HSPA6 levels are low or undetectable, but during stress, it rapidly accumulates in both the cytoplasm and nucleus, where it stabilizes denatured proteins and facilitates their refolding or degradation.

Pathologically, HSPA6 has been implicated in neuroprotection, cardiac stress response, and cancer cell survival. Upregulation in neurons protects against protein misfolding diseases such as Alzheimer's and Parkinson's, while elevated expression in tumors may contribute to resistance against apoptosis and chemotherapy. In cardiac tissues, HSPA6 supports survival under ischemic or oxidative stress conditions. Research using HSPA6 antibody supports studies in proteostasis, cellular stress pathways, and molecular chaperone biology.

HSPA6 antibody is validated for use in relevant research applications to detect inducible heat shock proteins and examine cellular responses to thermal or oxidative stress. NSJ Bioreagents provides HSPA6 antibody reagents optimized for studies in protein folding, stress signaling, and chaperone-mediated cytoprotection.

Application Notes

Optimal dilution of the HSPA6 antibody should be determined by the researcher.

Immunogen

A synthetic peptide corresponding to a sequence at the C-terminus of human HSPA6 was used as the immunogen for the HSPA6 antibody.

Storage

After reconstitution, the HSPA6 antibody can be stored for up to one month at 4oC. For long-term, aliquot and store at -20oC. Avoid repeated freezing and thawing.

Cross
Bulk Quote Request Form
Name*:
Organization*:
Email*:
Phone Number*:
Catalog No.*:
Comments and Specifics(amount, formulation, etc.)*:
Validation code: Captchapackage Image


Can't read the image? click here to refresh.
    *required field

Your bulk quote request has been submitted successfully!

Please contact us if you have any questions.