• Tel: 858.663.9055
  • SeparatorEmail: info@nsjbio.com
  • Tel: 858.663.9055
  • Email: info@nsjbio.com
Home >> Antibodies >> HSPA5 Antibody / GRP78 / BiP

HSPA5 Antibody / GRP78 / BiP (F54813)

  Catalog No Formulation Size Price (USD)  
Image F54813-0.4ML In 1X PBS, pH 7.4, with 0.09% sodium azide 0.4 ml 439
Image
F54813-0.08ML In 1X PBS, pH 7.4, with 0.09% sodium azide 0.08 ml 205
Bulk quote request
Western blot testing of human 1) HeLa, 2) A2058 and 3) NCI-H460 cell lysate with HSPA5 antibody. Predicted molecular weight: ~73 kDa, but routinely observed at 70-78 kDa.
Western blot testing of zebrafish brain lysate with HSPA5 antibody. Predicted molecular weight: ~73 kDa, but routinely observed at 70-78 kDa.
Immunofluorescent staining of human HeLa cells with Cytokeratin 18 antibody (green) and DAPI nuclear stain (blue).
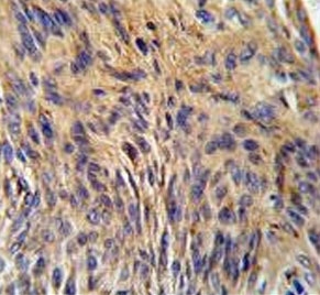
IHC testing of FFPE human lung carcinoma tissue with HSPA5 antibody. HIER: steam section in pH6 citrate buffer for 20 min and allow to cool prior to staining.
Availability 1-3 business days
Species Reactivity Human, Zebrafish
Format Purified
Host Rabbit
Clonality Polyclonal (rabbit origin)
Isotype Rabbit Ig
Purity Antigen affinity purified
UniProt P11021
Applications Immunofluorescence : 1:10-1:50
Western Blot : 1:500-1:1000
Immunohistochemistry (FFPE) : 1:50-1:100
Limitations This HSPA5 antibody is available for research use only.
Review this product on BioCompare and get a $20 Amazon gift card

Related Products

Description

When Chinese hamster K12 cells are starved of glucose, the synthesis of several proteins, called glucose-regulated proteins (GRPs), is markedly increased. Hendershot et al. (1994) [PubMed 8020977] pointed out that one of these, GRP78 (HSPA5), also referred to as 'immunoglobulin heavy chain-binding protein' (BiP), is a member of the heat-shock protein-70 (HSP70) family and is involved in the folding and assembly of proteins in the endoplasmic reticulum (ER). Because so many ER proteins interact transiently with GRP78, it may play a key role in monitoring protein transport through the cell.

Application Notes

The stated application concentrations are suggested starting points. Titration of the HSPA5 antibody may be required due to differences in protocols and secondary/substrate sensitivity.

Immunogen

A portion of amino acids 261-289 from the human protein was used as the immunogen for the HSPA5 antibody.

Storage

Aliquot the HSPA5 antibody and store frozen at -20oC or colder. Avoid repeated freeze-thaw cycles.

Cross
Bulk Quote Request Form
Name*:
Organization*:
Email*:
Phone Number*:
Catalog No.*:
Comments and Specifics(amount, formulation, etc.)*:
Validation code: Captchapackage Image


Can't read the image? click here to refresh.
    *required field

Your bulk quote request has been submitted successfully!

Please contact us if you have any questions.