• Tel: 858.663.9055
  • SeparatorEmail: info@nsjbio.com
  • Tel: 858.663.9055
  • Email: info@nsjbio.com
Home >> Antibodies >> HSPA5 Antibody / GRP78 / BiP

HSPA5 Antibody / GRP78 / BiP (F54266)

  Catalog No Formulation Size Price (USD)  
Image F54266-0.2ML In 1X PBS, pH 7.4, with 0.09% sodium azide 0.2 ml 439
Image
F54266-0.05ML In 1X PBS, pH 7.4, with 0.09% sodium azide 0.05 ml 205
Bulk quote request
Western blot testing of human HL60 cell lysate with HSPA5 antibody. Predicted molecular weight: ~73 kDa, but routinely observed at 70-78 kDa.
Western blot testing of mouse liver cell lysate with HSPA5 antibody. Predicted molecular weight: ~73 kDa, but routinely observed at 70-78 kDa.
Immunofluorescent staining of fixed and permeabilized human NCI-H460 cells with HSPA5 antibody (green) and DAPI nuclear stain (blue).
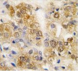
IHC testing of FFPE human testis tissue with HSPA5 antibody. HIER: steam section in pH6 citrate buffer for 20 min and allow to cool prior to staining.
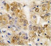
IHC testing of FFPE human prostate carcinoma with HSPA5 antibody. HIER: steam section in pH6 citrate buffer for 20 min and allow to cool prior to staining.
Flow cytometry testing of fixed and permeabilized human HeLa cells with HSPA5 antibody; Blue=isotype control, Green= HSPA5 antibody.
Availability 1-3 business days
Species Reactivity Human, Mouse
Format Purified
Host Rabbit
Clonality Polyclonal (rabbit origin)
Isotype Rabbit Ig
Purity SAS precipitation
UniProt P11021
Localization Cytoplasmic
Applications Western Blot : 1:500-1:2000
Immunohistochemistry (FFPE) : 1:25
Immunofluorescence : 1:25
Flow Cytometry : 1:25 (1x10e6 cells)
Limitations This HSPA5 antibody is available for research use only.
Review this product on BioCompare and get a $20 Amazon gift card

Related Products

Description

In cooperation with other chaperones, HSP70s stabilize preexistent proteins against aggregation and mediate the folding of newly translated polypeptides in the cytosol as well as within organelles. The HSP70s in mitochondria and the endoplasmic reticulum play an additional role by providing a driving force for protein translocation. They are involved in signal transduction pathways in cooperation with HSP90. They participate in all these processes through their ability to recognize nonnative conformations of other proteins. They bind extended peptide segments with a net hydrophobic character exposed by polypeptides during translation and membrane translocation, or following stress-induced damage.

Application Notes

The stated application concentrations are suggested starting points. Titration of the HSPA5 antibody may be required due to differences in protocols and secondary/substrate sensitivity.

Immunogen

Full length recombinant human protein was used as the immunogen for the HSPA5 Antibody.

Storage

Aliquot the HSPA5 antibody and store frozen at -20oC or colder. Avoid repeated freeze-thaw cycles.

Cross
Bulk Quote Request Form
Name*:
Organization*:
Email*:
Phone Number*:
Catalog No.*:
Comments and Specifics(amount, formulation, etc.)*:
Validation code: Captchapackage Image


Can't read the image? click here to refresh.
    *required field

Your bulk quote request has been submitted successfully!

Please contact us if you have any questions.