• Tel: 858.663.9055
  • SeparatorEmail: info@nsjbio.com
  • Tel: 858.663.9055
  • Email: info@nsjbio.com
Home >> Antibodies >> HSPA4L Antibody / Heat shock 70 kDa protein 4L

HSPA4L Antibody / Heat shock 70 kDa protein 4L (RQ8806)

  Catalog No Formulation Size Price (USD)  
Image RQ8806 0.5mg/ml if reconstituted with 0.2ml sterile DI water 100 ug 449
Bulk quote request
Immunofluorescent staining of FFPE human A549 cells with HSPA4L antibody (red) and DAPI nuclear stain (blue). HIER: steam section in pH6 citrate buffer for 20 min.
Western blot testing of 1) human HeLa, 2) rat testis and 3) mouse testis tissue lysate with HSPA4L antibody. Predicted molecular weight ~95 kDa.
Flow cytometry testing of fixed and permeabilized human 293T cells with HSPA4L antibody at 1ug/million cells (blocked with goat sera); Red=cells alone, Green=isotype control, Blue= HSPA4L antibody.
Flow cytometry testing of fixed and permeabilized human HeLa cells with HSPA4L antibody at 1ug/million cells (blocked with goat sera); Red=cells alone, Green=isotype control, Blue= HSPA4L antibody.
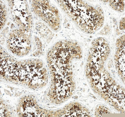
IHC staining of FFPE human testis tissue with HSPA4L antibody, HRP-secondary and DAB substrate. HIER: boil tissue sections in pH8 EDTA for 20 min and allow to cool before testing.
Availability 1-3 days
Species Reactivity Human, Mouse, Rat
Format Antigen affinity purified
Host Rabbit
Clonality Polyclonal (rabbit origin)
Isotype Rabbit IgG
Purity Antigen affinity chromatography
Buffer Lyophilized from 1X PBS with 2% Trehalose
UniProt O95757
Localization Cytoplasm, Nucleus
Applications Western Blot : 1-2ug/ml
Immunofluorescence : 5ug/ml
Flow Cytometry : 1-3ug/million cells
ELISA : 0.1-0.5ug/ml
Immunohistochemistry (FFPE) : 2-5ug/ml
Limitations This HSPA4L antibody is available for research use only.
Review this product on BioCompare and get a $20 Amazon gift card

Related Products

Description

HSPA4L antibody is used in research examining protein folding, cellular stress responses, and chaperone function. The encoded protein, heat shock 70 kDa protein 4L, belongs to the HSP70 family of molecular chaperones that are highly conserved across species. These proteins are essential for maintaining protein homeostasis by assisting in the folding of nascent chains, refolding of stress-denatured proteins, and preventing the aggregation of misfolded proteins. HSPA4L is predominantly expressed in the testes, where it plays an important role in spermatogenesis and germ cell differentiation, but it is also detected in other tissues at lower levels.

HSPA4L functions as a co-chaperone, interacting with other members of the HSP70 family and components of the proteostasis network. Studies suggest that it helps regulate protein quality control within the endoplasmic reticulum and cytoplasm, ensuring that proteins achieve and maintain their correct conformations. This role is particularly important in cells with high rates of protein synthesis, such as germ cells, or in conditions of environmental stress that challenge protein folding.

The activity of heat shock 70 kDa protein 4L extends beyond basic protein folding. Evidence indicates it participates in protecting cells from apoptosis under stress conditions and may influence signaling pathways related to differentiation and development. Its testis-enriched expression pattern suggests a specific function in male fertility, and animal models have demonstrated that loss of HSPA4L impairs spermatogenesis and compromises reproductive capacity. These findings underscore its specialized and essential role in reproductive biology.

HSPA4L has also been implicated in cancer and neurodegenerative disease, where dysregulated proteostasis contributes to pathology. Altered expression of HSP70 family members, including HSPA4L, may provide tumor cells with survival advantages by helping them withstand proteotoxic stress. Similarly, in neurodegenerative disorders, where protein misfolding and aggregation are central features, HSPA4L may serve as a protective factor, although its precise role is still under investigation.

The HSPA4L antibody is widely applied in western blotting, immunohistochemistry, immunofluorescence, and flow cytometry. These methods enable scientists to track expression levels, subcellular localization, and disease-associated changes. Researchers studying protein folding, reproductive biology, or stress responses can rely on the HSPA4L antibody for dependable results. NSJ Bioreagents provides validated antibodies to support accurate and reproducible outcomes in advanced molecular research.

Application Notes

Optimal dilution of the HSPA4L antibody should be determined by the researcher.

Immunogen

An E.coli-derived human recombinant protein (amino acids Q55-K788) was used as the immunogen for the HSPA4L antibody.

Storage

After reconstitution, the HSPA4L Antibody can be stored for up to one month at 4oC. For long-term, aliquot and store at -20oC. Avoid repeated freezing and thawing.

Cross
Bulk Quote Request Form
Name*:
Organization*:
Email*:
Phone Number*:
Catalog No.*:
Comments and Specifics(amount, formulation, etc.)*:
Validation code: Captchapackage Image


Can't read the image? click here to refresh.
    *required field

Your bulk quote request has been submitted successfully!

Please contact us if you have any questions.