• Tel: 858.663.9055
  • SeparatorEmail: info@nsjbio.com
  • Tel: 858.663.9055
  • Email: info@nsjbio.com
Home >> Antibodies >> HSPA4 Antibody / Heat shock protein family A member 4

HSPA4 Antibody / Heat shock protein family A member 4 (FY13366)

  Catalog No Formulation Size Price (USD)  
Image FY13366 Adding 0.2 ml of distilled water will yield a concentration of 500 ug/ml 100 ug 449
Bulk quote request
Western blot analysis of HSPA4 using anti-HSPA4 antibody. Lane 1: human 293T whole cell lysates, Lane 2: human K562 whole cell lysates, Lane 3: rat brain tissue lysates, Lane 4: rat C6 whole cell lysates, Lane 5: mouse brain tissue lysates, Lane 6: mouse NIH/3T3 whole cell lysates, Lane 7: mouse Raw264.7 whole cell lysates. After electrophoresis, proteins were transferred to a nitrocellulose membrane at 150 mA for 50-90 minutes. Blocked the membrane with 5% non-fat milk/TBS for 1.5 hour at RT. The membrane was incubated with rabbit anti-HSPA4 antibody at 0.5 ug/ml overnight at 4oC, then washed with TBS-0.1%Tween 3 times with 5 minutes each and probed with a goat anti-rabbit IgG-HRP secondary antibody at a dilution of 1:5000 for 1.5 hour at RT. The signal was developed using enhanced chemiluminescent. A dominant band is observed at approximately 105-110 kDa, which is the expected migration pattern for HSPA4. Although the theoretical molecular weight of HSPA4 is ~94 kDa, members of the Hsp110 family, including HSPA4, are well known to migrate 10-20 kDa heavier due to acidic domains, extended disordered regions, and phosphorylation, which reduce SDS binding and cause anomalous gel mobility.
Western blot analysis of HSPA4 using anti-HSPA4 antibody. Lane 1: human 293T whole cell lysates, Lane 2: human K562 whole cell lysates, Lane 3: rat brain tissue lysates, Lane 4: rat C6 whole cell lysates, Lane 6: mouse brain tissue lysates, Lane 7: mouse NIH/3T3 whole cell lysates, Lane 8: mouse Raw264.7 whole cell lysates. After electrophoresis, proteins were transferred to a nitrocellulose membrane at 150 mA for 50-90 minutes. Blocked the membrane with 5% non-fat milk/TBS for 1.5 hour at RT. The membrane was incubated with rabbit anti-HSPA4 antibody at 0.25 ug/ml overnight at 4oC, then washed with TBS-0.1%Tween 3 times with 5 minutes each and probed with a goat anti-rabbit IgG-DyLight 647 Conjugated secondary antibody at a dilution of 1:2000 for 1.5 hour at RT. A dominant band is observed at approximately 105-110 kDa, which is the expected migration pattern for HSPA4. Although the theoretical molecular weight of HSPA4 is ~94 kDa, members of the Hsp110 family, including HSPA4, are well known to migrate 10-20 kDa heavier due to acidic domains, extended disordered regions, and phosphorylation, which reduce SDS binding and cause anomalous gel mobility.
Immunohistochemical staining of HSPA4 using anti-HSPA4 antibody. HSPA4 was detected in a paraffin-embedded section of human colon cancer tissue. Heat mediated antigen retrieval was performed in EDTA buffer (pH 8.0, epitope retrieval solution). The tissue section was blocked with 10% goat serum. The tissue section was then incubated with 2 ug/ml rabbit anti-HSPA4 antibody overnight at 4oC. Peroxidase Conjugated Goat Anti-rabbit IgG was used as secondary antibody and incubated for 30 minutes at 37oC. The tissue section was developed using an HRP secondary and DAB substrate.
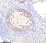
Immunohistochemical staining of HSPA4 using anti-HSPA4 antibody. HSPA4 was detected in a paraffin-embedded section of mouse ovary tissue. Heat mediated antigen retrieval was performed in EDTA buffer (pH 8.0, epitope retrieval solution). The tissue section was blocked with 10% goat serum. The tissue section was then incubated with 2 ug/ml rabbit anti-HSPA4 antibody overnight at 4oC. Peroxidase Conjugated Goat Anti-rabbit IgG was used as secondary antibody and incubated for 30 minutes at 37oC. The tissue section was developed using an HRP secondary and DAB substrate.
Flow Cytometry analysis of 293T cells using anti-HSPA4 antibody. Overlay histogram showing 293T cells stained with (Blue line). To facilitate intracellular staining, cells were fixed with 4% paraformaldehyde and permeabilized with permeabilization buffer. The cells were blocked with 10% normal goat serum. And then incubated with rabbit anti-HSPA4 antibody (1 ug/million cells) for 30 min at 20oC. DyLight 488 conjugated goat anti-rabbit IgG (5-10 ug/million cells) was used as secondary antibody for 30 minutes at 20oC. Isotype control antibody (Green line) was rabbit IgG (1 ug/million cells) used under the same conditions. Unlabelled sample without incubation with primary antibody and secondary antibody (Red line) was used as a blank control.
Flow Cytometry analysis of MOLT-4 cells using anti-HSPA4 antibody. Overlay histogram showing MOLT-4 cells stained with (Blue line). To facilitate intracellular staining, cells were fixed with 4% paraformaldehyde and permeabilized with permeabilization buffer. The cells were blocked with 10% normal goat serum. And then incubated with rabbit anti-HSPA4 antibody (1 ug/million cells) for 30 min at 20oC. DyLight 488 conjugated goat anti-rabbit IgG (5-10 ug/million cells) was used as secondary antibody for 30 minutes at 20oC. Isotype control antibody (Green line) was rabbit IgG (1 ug/million cells) used under the same conditions. Unlabelled sample without incubation with primary antibody and secondary antibody (Red line) was used as a blank control.
Availability 1-2 days
Species Reactivity Human, Mouse, Rat
Format Lyophilized
Host Rabbit
Clonality Polyclonal (rabbit origin)
Isotype Rabbit IgG
Purity Immunogen affinity purified
Buffer Each vial contains 4 mg Trehalose, 0.9 mg NaCl, 0.2 mg Na2HPO4.
UniProt P34932
Localization Cytoplasm
Applications Western Blot : 0.25-0.5ug/ml
Immunohistochemistry : 2-5ug/ml
Immunocytochemistry : 5ug/ml
Immunofluorescence : 5ug/ml
Flow Cytometry : 1-3ug/million cells
Limitations This HSPA4 antibody is available for research use only.
Review this product on BioCompare and get a $20 Amazon gift card

Description

HSPA4 antibody detects Heat shock protein family A member 4, also known as HSP70-like protein 1, encoded by the HSPA4 gene on chromosome 5q31.1. HSPA4 is a molecular chaperone belonging to the heat shock protein 70 (HSP70) family, which assists in the folding, assembly, and degradation of nascent and stress-denatured proteins. It is expressed in most tissues, with particularly high levels in brain, liver, and testis, where protein quality control and stress recovery are essential. HSPA4 functions as a co-chaperone with HSP70 and HSP90 to maintain proteostasis under physiological and stress conditions.

Structurally, HSPA4 contains a conserved N-terminal ATPase domain and a C-terminal substrate-binding domain that interacts with unfolded polypeptides. It also includes a variable C-terminal tail that mediates interactions with co-chaperones and client proteins. HSPA4 belongs to the HSP110 subfamily of the HSP70 superfamily, which functions as a nucleotide exchange factor for other chaperones. Co-localization studies show HSPA4 in both the cytoplasm and nucleus, where it participates in heat shock response and protein degradation pathways.

Functionally, HSPA4 promotes proper protein folding, prevents aggregation, and assists in refolding stress-denatured proteins. It also participates in chaperone-mediated autophagy and the ubiquitin-proteasome pathway, ensuring the clearance of damaged proteins. In neurons, HSPA4 supports synaptic protein stability and protects against aggregation-linked neurodegenerative processes. In germ cells, it contributes to spermatogenesis by stabilizing testis-specific proteins. Known interaction partners include HSP70, HSP90, BAG family co-chaperones, and CHIP (STUB1), which regulate client degradation.

HSPA4 plays an important role in cellular defense against heat, oxidative stress, and proteotoxicity. It is upregulated in response to stress stimuli such as heat shock, ischemia, and toxin exposure. Dysregulation of HSPA4 expression has been associated with neurodegenerative diseases, infertility, and cancer. Overexpression enhances tumor survival by preventing apoptosis, while loss of function increases susceptibility to protein aggregation. Pathway associations include the heat shock response, protein refolding, and proteasomal degradation. During development, HSPA4 is expressed in proliferating and differentiating cells where protein folding demand is high.

The HSPA4 antibody from NSJ Bioreagents is a reliable reagent for research on molecular chaperones, protein quality control, and stress response mechanisms.

Application Notes

Optimal dilution of the HSPA4 antibody should be determined by the researcher.

Immunogen

A synthetic peptide corresponding to a sequence at the C-terminus of human HSPA4 was used as the immunogen for the HSPA4 antibody.

Storage

After reconstitution, the HSPA4 antibody can be stored for up to one month at 4oC. For long-term, aliquot and store at -20oC. Avoid repeated freezing and thawing.

Cross
Bulk Quote Request Form
Name*:
Organization*:
Email*:
Phone Number*:
Catalog No.*:
Comments and Specifics(amount, formulation, etc.)*:
Validation code: Captchapackage Image


Can't read the image? click here to refresh.
    *required field

Your bulk quote request has been submitted successfully!

Please contact us if you have any questions.