• Tel: 858.663.9055
  • SeparatorEmail: info@nsjbio.com
  • Tel: 858.663.9055
  • Email: info@nsjbio.com
Home >> Antibodies >> HSPA1L Antibody / Heat shock 70 kDa protein 1-like

HSPA1L Antibody / Heat shock 70 kDa protein 1-like (RQ8846)

  Catalog No Formulation Size Price (USD)  
Image RQ8846 0.5mg/ml if reconstituted with 0.2ml sterile DI water 100 ug 449
Bulk quote request
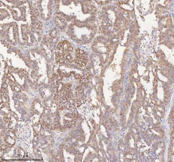
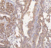
IHC staining of FFPE human ovarian cancer tissue with HSPA1L antibody. HIER: boil tissue sections in pH8 EDTA for 20 min and allow to cool before testing.
IHC staining of FFPE human ovarian cancer tissue with HSPA1L antibody. HIER: boil tissue sections in pH8 EDTA for 20 min and allow to cool before testing.
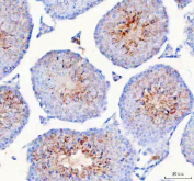
IHC staining of FFPE mouse testis tissue with HSPA1L antibody. HIER: boil tissue sections in pH8 EDTA for 20 min and allow to cool before testing.
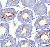
IHC staining of FFPE rat testis tissue with HSPA1L antibody. HIER: boil tissue sections in pH8 EDTA for 20 min and allow to cool before testing.
Immunofluorescent staining of FFPE human HeLa cells with HSPA1L antibody (red) and DAPI nuclear stain (blue). HIER: steam section in pH6 citrate buffer for 20 min.
Western blot testing of 1) human HeLa, 2) human HepG2, 3) human MCF7, 4) human 293T, 5) rat liver, 6) rat testis, 7) mouse liver and 8) mouse testis tissue lysate with HSPAL1 antibody. Predicted molecular weight ~70 kDa.
Flow cytometry testing of fixed and permeabilized human HepG2 cells with HSPA1L antibody at 1ug/million cells (blocked with goat sera); Red=cells alone, Green=isotype control, Blue= HSPA1L antibody.
Availability 1-2 days
Species Reactivity Human, Mouse, Rat
Format Antigen affinity purified
Host Rabbit
Clonality Polyclonal (rabbit origin)
Isotype Rabbit IgG
Purity Antigen affinity chromatography
Buffer Lyophilized from 1X PBS with 2% Trehalose
UniProt P34931
Localization Nucleus, plasma membrane, cytoplasm
Applications Western Blot : 1-2ug/ml
Immunohistochemistry (FFPE) : 2-5ug/ml
Immunofluorescence : 5ug/ml
Flow Cytometry : 1-3ug/million cells
ELISA : 0.1-0.5ug/ml
Limitations This HSPA1L antibody is available for research use only.
Review this product on BioCompare and get a $20 Amazon gift card

Related Products

  • Applications : WB, ELISA
    Reactivity : Human

Description

Heat shock 70 kDa protein 1L is a protein that in humans is encoded by the HSPA1L gene on chromosome 6. This gene encodes a 70kDa heat shock protein. In conjunction with other heat shock proteins, this protein stabilizes existing proteins against aggregation and mediates the folding of newly translated proteins in the cytosol and in organelles. The gene is located in the major histocompatibility complex class III region, in a cluster with two closely related genes which also encode isoforms of the 70kDa heat shock protein.

Application Notes

Optimal dilution of the HSPA1L antibody should be determined by the researcher.

Immunogen

An E.coli-derived human recombinant protein (amino acids D82-Q614) was used as the immunogen for the HSPA1L antibody.

Storage

After reconstitution, the HSPA1L antibody can be stored for up to one month at 4oC. For long-term, aliquot and store at -20oC. Avoid repeated freezing and thawing.

Cross
Bulk Quote Request Form
Name*:
Organization*:
Email*:
Phone Number*:
Catalog No.*:
Comments and Specifics(amount, formulation, etc.)*:
Validation code: Captchapackage Image


Can't read the image? click here to refresh.
    *required field

Your bulk quote request has been submitted successfully!

Please contact us if you have any questions.