• Tel: 858.663.9055
  • SeparatorEmail: info@nsjbio.com
  • Tel: 858.663.9055
  • Email: info@nsjbio.com
Home >> Antibodies >> HSP90 beta Antibody / HSP90AB1

HSP90 beta Antibody / HSP90AB1 [clone BAA-8] (RQ5206)

  Catalog No Formulation Size Price (USD)  
Image RQ5206 Antibody in PBS with 0.02% sodium azide, 50% glycerol and 0.4-0.5mg/ml BSA 100 ul 449
Microvalidated Rab Mono Image
Bulk quote request
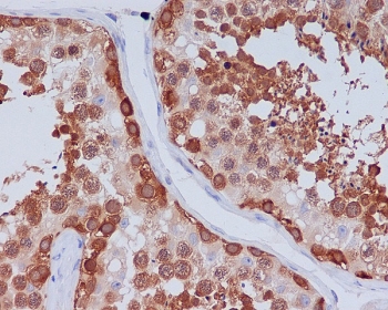
IHC staining of FFPE human testis tissue with HSP90 beta antibody. HIER: boil tissue sections in pH6, 10mM citrate buffer, for 10-20 min and allow to cool before testing.
Western blot testing of human 1) HeLa and 2) Jurkat cell lysate with HSP90 beta antibody. Predicted molecular weight: 84-90 kDa.
Availability 1-2 weeks
Species Reactivity Human
Format Purified
Host Rabbit
Clonality Rabbit Monoclonal
Isotype Rabbit IgG
Clone Name BAA-8
Purity Affinity purified
UniProt P08238
Applications Western Blot : 1:500-1:2000
Immunohistochemistry (FFPE) : 1:50-1:200
Limitations This HSP90 beta antibody is available for research use only.
Review this product on BioCompare and get a $20 Amazon gift card

Related Products

Description

The HSP90AB1 gene encodes a member of the heat shock protein 90 family; these proteins are involved in signal transduction, protein folding and degradation and morphological evolution. This gene encodes the constitutive form of the cytosolic 90 kDa heat-shock protein and is thought to play a role in gastric apoptosis and inflammation. Alternative splicing results in multiple transcript variants. [RefSeq]

Application Notes

Optimal dilution of the HSP90 beta antibody should be determined by the researcher.

Immunogen

A synthetic peptide specific to human Hsp90 beta / HSP90AB1 was used as the immunogen for the HSP90 beta antibody.

Storage

Store the HSP90 beta antibody at -20oC.

Cross
Bulk Quote Request Form
Name*:
Organization*:
Email*:
Phone Number*:
Catalog No.*:
Comments and Specifics(amount, formulation, etc.)*:
Validation code: Captchapackage Image


Can't read the image? click here to refresh.
    *required field

Your bulk quote request has been submitted successfully!

Please contact us if you have any questions.