• Tel: 858.663.9055
  • SeparatorEmail: info@nsjbio.com
  • Tel: 858.663.9055
  • Email: info@nsjbio.com
Home >> Antibodies >> Hsp90 beta Antibody / HSP90AB1

Hsp90 beta Antibody / HSP90AB1 [clone 7B7F5] (RQ7569)

  Catalog No Formulation Size Price (USD)  
Image RQ7569 0.5mg/ml if reconstituted with 0.2ml sterile DI water 100 ug 449
Bulk quote request
Immunofluorescent staining of FFPE human MCF-7 cells with Hsp90 beta antibody (green) and DAPI nuclear stain (blue). HIER: steam section in pH6 citrate buffer for 20 min.
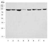
Western blot testing of 1) human HeLa, 2) human Jurkat, 3) human Raji, 4) human A431, 5) rat brain, 6) rat heart, 7) mouse brain and 8) mouse heart tissue lysate with Hsp90 beta antibody. Predicted molecular weight: 84-90 kDa.
Flow cytometry testing of human Caco-2 cells with Hsp90 beta antibody at 1ug/million cells (blocked with goat sera); Red=cells alone, Green=isotype control, Blue= Hsp90 beta antibody.
Availability 1-3 business days
Species Reactivity Human, Mouse, Rat
Format Antigen affinity purified
Host Mouse
Clonality Monoclonal (mouse origin)
Isotype Mouse IgG2b
Clone Name 7B7F5
Purity Antigen affinity purified
Buffer Lyophilized from 1X PBS with 2% Trehalose
UniProt P08238
Localization Cytoplasmic, nuclear
Applications Western Blot : 0.5-1ug/ml
Immunofluorescence : 5ug/ml
Flow Cytometry : 1-3ug/million cells
Limitations This Hsp90 beta antibody is available for research use only.
Review this product on BioCompare and get a $20 Amazon gift card

Related Products

Description

Heat shock protein HSP 90-beta, also called HSP90beta, is a protein that in humans is encoded by the HSP90AB1 gene. It is mapped to chromosome 6p21.1. This gene encodes a member of the heat shock protein 90 family; these proteins are involved in signal transduction, protein folding and degradation and morphological evolution. And this gene is thought to play a role in gastric apoptosis and inflammation. Alternative splicing results in multiple transcript variants. Pseudogenes have been identified on multiple chromosomes.

Application Notes

Optimal dilution of the Hsp90 beta antibody should be determined by the researcher.

Immunogen

Amino acids 449-481 (RRLSELLRYHTSQSGDEMTSLSEYVSRMKETQK) from the human protein were used as the immunogen for the Hsp90 beta antibody.

Storage

After reconstitution, the Hsp90 beta antibody can be stored for up to one month at 4oC. For long-term, aliquot and store at -20oC. Avoid repeated freezing and thawing.

Cross
Bulk Quote Request Form
Name*:
Organization*:
Email*:
Phone Number*:
Catalog No.*:
Comments and Specifics(amount, formulation, etc.)*:
Validation code: Captchapackage Image


Can't read the image? click here to refresh.
    *required field

Your bulk quote request has been submitted successfully!

Please contact us if you have any questions.