• Tel: 858.663.9055
  • SeparatorEmail: info@nsjbio.com
  • Tel: 858.663.9055
  • Email: info@nsjbio.com
Home >> Antibodies >> HSP70 Antibody / HSPA1A

HSP70 Antibody / HSPA1A (R31931)

  Catalog No Formulation Size Price (USD)  
Image R31931 0.5mg/ml if reconstituted with 0.2ml sterile DI water 100 ug 449
Bulk quote request
Immunofluorescent staining of FFPE human MCF7 cells with HSP70 antibody (green) and DAPI nuclear stain (blue). HIER: steam section in pH6 citrate buffer for 20 min.
IHC testing of FFPE human lung cancer tissue with HSP70 antibody. HIER: Boil the paraffin sections in pH 6, 10mM citrate buffer for 20 minutes and allow to cool prior to staining.
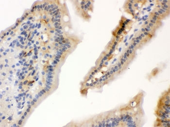
IHC testing of FFPE mouse intestine with HSP70 antibody. HIER: Boil the paraffin sections in pH 6, 10mM citrate buffer for 20 minutes and allow to cool prior to staining.
IHC testing of FFPE rat intestine with HSP70 antibody. HIER: Boil the paraffin sections in pH 6, 10mM citrate buffer for 20 minutes and allow to cool prior to staining.
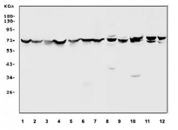
Western blot testing of human 1) HeLa, 2) A549, 3) HepG2, 4) Caco-2, 5) SW620, 6) PANCC-1, 7) Raji, 8) rat brain, 9) rat kidney, 10) mouse kidney, 11) mouse NIH 3T3 and 12) mouse RAW264.7 cell lysate with HSP70 antibody. Expected molecular weight ~70 kDa.
Flow cytometry testing of human HeLa cells with HSP70 antibody at 1ug/million cells (blocked with goat sera); Red=cells alone, Green=isotype control, Blue= HSP70 antibody.
Availability 1-3 business days
Species Reactivity Human, Mouse, Rat
Format Antigen affinity purified
Host Rabbit
Clonality Polyclonal (rabbit origin)
Isotype Rabbit IgG
Purity Antigen affinity
Buffer Lyophilized from 1X PBS with 2.5% BSA and 0.025% sodium azide
UniProt P0DMV8
Localization Nuclear, cytoplasmic
Applications Western Blot : 0.1-0.5ug/ml
Immunohistochemistry (FFPE) : 0.5-1ug/ml
Immunofluorescence : 5ug/ml
Flow Cytometry : 1-3ug/million cells
Limitations This HSP70 antibody is available for research use only.
Review this product on BioCompare and get a $20 Amazon gift card

Related Products

Description

HSPA1 (heat shock 70kDa protein 1A) also known as HSP70-1, HSPA1A, HSP70-1A, HSP72 or HSP70I, is a protein that in humans is encoded by the HSPA1A gene. This intronless gene encodes a 70kDa heat shock protein which is a member of the heat shock protein 70 family. The HSPA1A gene encodes a predicted 641-amino acid protein. The HSPA1 gene is mapped on 6p21.33. Shimizu et al. (1999) found that peripheral blood mononuclear cells of 18 major depression patients expressed a short HSPA1A transcript that utilized exon 1 rather than exon 2, which is found in the more common HSPA1A transcript. No protein was associated with expression of this short HSPA1A mRNA, possibly due to lack of a TATA box or loss of internal ribosome binding sites. Treatment with BGP-15, a pharmacologic inducer of Hsp72 that can protect against obesity-induced insulin resistance, improved muscular architecture, strength, and contractile function in severely affected diaphragm muscles in mdx dystrophic mice.

Application Notes

Optimal dilution of the HSP70 antibody should be determined by the researcher.

Immunogen

Amino acids KGKISEADKKKVLDKCQEVISWLDANTLAEKDEFEHKR of human HSPA1A were used as the immunogen for the HSP70 antibody.

Storage

After reconstitution, the HSP70 antibody can be stored for up to one month at 4oC. For long-term, aliquot and store at -20oC. Avoid repeated freezing and thawing.

Cross
Bulk Quote Request Form
Name*:
Organization*:
Email*:
Phone Number*:
Catalog No.*:
Comments and Specifics(amount, formulation, etc.)*:
Validation code: Captchapackage Image


Can't read the image? click here to refresh.
    *required field

Your bulk quote request has been submitted successfully!

Please contact us if you have any questions.