• Tel: 858.663.9055
  • SeparatorEmail: info@nsjbio.com
  • Tel: 858.663.9055
  • Email: info@nsjbio.com
Home >> Antibodies >> Hsp70 Antibody / Heat shock protein 70 / HSPA8

Hsp70 Antibody / Heat shock protein 70 / HSPA8 [clone 31H87] (FY13333)

  Catalog No Formulation Size Price (USD)  
Image FY13333 Rabbit IgG in phosphate buffered saline, pH 7.4, 150mM NaCl, 0.02% sodium azide and 50% glycerol, 0.4-0.5mg/ml BSA 100 ul 449
Microvalidated Recrabbitmono
Bulk quote request
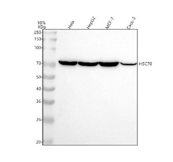
Western blot analysis of Hsp70 using anti-Hsp70 antibody. Lane 1: human Hela whole cell lysates, Lane 2: human HepG2 whole cell lysates, Lane 3: human MCF-7 whole cell lysates, Lane 4: human Caco-2 whole cell lysates. After electrophoresis, proteins were transferred to a nitrocellulose membrane at 150 mA for 50-90 minutes. Blocked the membrane with 5% non-fat milk/TBS for 1.5 hour at RT. The membrane was incubated with rabbit anti-Hsp70 antibody at 1:500 overnight at 4oC, then washed with TBS-0.1%Tween 3 times with 5 minutes each and probed with a goat anti-rabbit IgG-HRP secondary antibody at a dilution of 1:500 for 1.5 hour at RT. The signal was developed using enhanced chemiluminescent. The predicted molecular weight of Hsp70 is ~70 kDa and ~64 kDa (two isoforms).
Immunoprecipitation analysis using the Hsp70 antibody at 1:50 dilution. Western blot at 1:1K dilution. The predicted molecular weight of Hsp70 is ~70 kDa and ~64 kDa (two isoforms).
Availability 2-3 weeks
Species Reactivity Human
Format Liquid
Host Rabbit
Clonality Recombinant Rabbit Monoclonal
Isotype Rabbit IgG
Clone Name 31H87
Purity Affinity chromatography
Buffer Rabbit IgG in phosphate buffered saline, pH 7.4, 150mM NaCl, 0.02% sodium azide and 50% glycerol, 0.4-0.5mg/ml BSA.
UniProt P0DMV8 , P0DMV9
Applications Western Blot : 1:500-1:2000
Immunohistochemistry : 1:50-1:200
Immunocytochemistry/Immunofluorescence : 1:50-1:200
Immunoprecipitation : 1:50
Flow Cytometry : 1:50
Limitations This Hsp70 antibody is available for research use only.
Review this product on BioCompare and get a $20 Amazon gift card

Related Products

  • Applications : WB
    Reactivity : Human, Mouse, Rat
    Rab Mono Image
  • Applications : WB, IHC-P, IF, FACS
    Reactivity : Human, Mouse, Rat
  • Applications : WB, IHC-P, IHC-F, ICC, IF, FACS
    Reactivity : Human, Mouse, Rat
  • Applications : WB, IHC-P
    Reactivity : Human, Mouse, Rat
  • Applications : WB, IF/ICC, ELISA (peptide)
    Reactivity : Human, Mouse
    Pred. Reactivity : Rat, Dog
  • Applications : WB, IHC-P, IF, IP, FACS
    Reactivity : Human, Mouse, Rat
  • Applications : WB, FACS, IF, IHC-P
    Reactivity : Human, Mouse, Rat
  • Applications : WB, FACS, IHC-P, IF
    Reactivity : Human, Mouse, Rat
  • Applications : WB, IHC-P
    Reactivity : Zebrafish

Description

Hsp70 antibody detects Heat shock cognate protein 70, also known as HSC70, encoded by the HSPA8 gene. Heat shock cognate protein 70 is a constitutively expressed member of the Hsp70 family of molecular chaperones that regulate protein folding, quality control, and degradation. Hsp70 antibody provides researchers with a highly specific reagent for studying stress responses, proteostasis, and disease mechanisms associated with protein misfolding.

Heat shock cognate protein 70 binds nascent polypeptides, unfolded proteins, and misfolded intermediates in an ATP dependent cycle. Research using Hsp70 antibody has shown that HSC70 cooperates with Hsp40 co chaperones and nucleotide exchange factors to stabilize client proteins, facilitate folding, and prevent aggregation. This activity is essential for maintaining proteome stability during protein synthesis and cellular stress.

Studies with Hsp70 antibody have revealed roles in intracellular protein transport. Heat shock cognate protein 70 participates in clathrin mediated endocytosis by uncoating clathrin coated vesicles, ensuring efficient trafficking of receptors and cargo. It also contributes to nuclear import, mitochondrial translocation, and protein transport across membranes. These findings highlight the broad role of HSC70 in protein logistics within the cell.

Beyond folding and trafficking, Heat shock cognate protein 70 is a central regulator of chaperone mediated autophagy. Research using Hsp70 antibody has demonstrated that HSC70 recognizes proteins containing KFERQ like motifs and directs them to lysosomes for degradation. This selective autophagy pathway maintains cellular homeostasis by removing damaged or superfluous proteins. Dysregulation of this pathway contributes to age related disease and neurodegeneration.

HSC70 also supports cellular survival under stress. Studies with Hsp70 antibody have shown that its levels increase during stress conditions, such as oxidative stress, heat shock, or metabolic imbalance. By stabilizing key signaling and structural proteins, HSC70 allows cells to adapt and recover from damage. Its protective function underscores why Hsp70 family proteins are considered central to stress tolerance mechanisms.

In disease contexts, dysregulation of Heat shock cognate protein 70 has been associated with cancer, infection, and neurodegeneration. Research using Hsp70 antibody has revealed that many tumor cells exploit HSC70 to maintain folding capacity under high metabolic stress, supporting uncontrolled growth. Pathogens, including viruses, hijack HSC70 to aid in replication and assembly. Conversely, in neurodegenerative disorders such as Alzheimer disease, Parkinson disease, and Huntington disease, insufficient chaperone activity allows toxic protein aggregates to accumulate. These findings make HSC70 both a biomarker and a potential therapeutic target.

Hsp70 antibody is widely used in western blotting, immunohistochemistry, and immunofluorescence. Western blotting quantifies expression and post translational modifications, immunohistochemistry reveals tissue distribution, and immunofluorescence demonstrates cytoplasmic and vesicular localization. These approaches make Hsp70 antibody indispensable for molecular chaperone research.

By providing validated Hsp70 antibody reagents, NSJ Bioreagents supports studies into proteostasis, autophagy, and disease. Detection of Heat shock cognate protein 70 allows researchers to explore how chaperones regulate folding, trafficking, and degradation across diverse biological systems.

Application Notes

Optimal dilution of the Hsp70 antibody should be determined by the researcher.

Immunogen

A synthesized peptide derived from human Hsp70 was used as the immunogen for the Hsp70 antibody.

Storage

Store the Hsp70 antibody at -20oC.

Cross
Bulk Quote Request Form
Name*:
Organization*:
Email*:
Phone Number*:
Catalog No.*:
Comments and Specifics(amount, formulation, etc.)*:
Validation code: Captchapackage Image


Can't read the image? click here to refresh.
    *required field

Your bulk quote request has been submitted successfully!

Please contact us if you have any questions.