• Tel: 858.663.9055
  • SeparatorEmail: info@nsjbio.com
  • Tel: 858.663.9055
  • Email: info@nsjbio.com
Home >> Antibodies >> HSP60 Antibody / HSPD1

HSP60 Antibody / HSPD1 (N1068)

  Catalog No Formulation Size Price (USD)  
Image N1068-100UG 0.5 mg/ml in 1X PBS with 0.1 mg/ml BSA (US sourced), 0.05% sodium azide 100 ug 439
Image
N1068-25UG 0.5 mg/ml in 1X PBS with 0.1 mg/ml BSA (US sourced), 0.05% sodium azide 25 ug 225
Bulk quote request
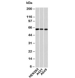
Western blot testing of human samples with HSP60 antibody at 1ug/ml.
Western blot testing of mouse samples with HSP60 antibody at 1ug/ml.
IHC staining of FFPE human small intestine with HSP60 antibody. HIER: boil tissue sections in pH6, 10mM citrate buffer, for 20 min and allow to cool before testing.
Species Reactivity Human
Format Purified
Host Rabbit
Clonality Polyclonal (rabbit origin)
Isotype Rabbit IgG
Purity Protein A affinity chromatography
Buffer 1X PBS, pH 7.4
Gene ID 3329
Applications Western Blot : 1-3ug/ml
Immunohistochemistry (FFPE) : 5-7ug/ml
Limitations This HSP60 antibody is available for research use only.
Review this product on BioCompare and get a $20 Amazon gift card

Related Products

  • Applications : WB, IHC-P
    Reactivity : Human
    Recmousemono
    Microvalidated
  • Applications : WB, IHC-P
    Reactivity : Human, Dog
    Recrabbitmono
  • Applications : IF, WB, IHC-P
    Reactivity : Human
    Microvalidated
  • Applications : FACS, IF, WB, IHC-P
    Reactivity : Human, Mouse, Rat
    Citation  Citations(8)
  • Applications : IF, WB, IHC-P
    Reactivity : Human
    Citation  Citations(9)
  • Applications : WB, IF, IHC-P
    Reactivity : Human
  • Applications : IF, IHC-P
    Reactivity : Human
  • Applications : IF, WB, IHC-P
    Reactivity : Human
    Citation  Citations(1)
  • Applications : IF, WB, IHC-P
    Reactivity : Human
  • Applications : WB
    Reactivity : Human
    Rab Mono Image
  • Applications : FACS, IF, WB, IHC-P
    Reactivity : Human
  • Applications : WB
    Reactivity : Human
  • Applications : WB, IHC-P, IF, ICC, FACS
    Reactivity : Human, Mouse, Rat
  • Applications : WB, IHC-P, ICC, IF, FACS
    Reactivity : Human, Mouse, Rat
  • Applications : WB, IHC, ELISA
    Reactivity : Human, Mouse
  • Applications : WB, IHC-P, IF, ELISA (peptide)
    Reactivity : Human, Pig, Rat
    Pred. Reactivity : Cow, Dog

Description

First described in relation to heat shock, HSPs are now known to be produced in response to additional stressful conditions including cold and UV light, as well as during wound healing. Heat shock protein 60 (HSP60) is responsible for protein transportation from the cytoplasm to the mitochondrial matrix and the subsequent refolding of the transported proteins. HSP60 also functions as a molecular chaperone, or chaperonin, assisting linear amino acid chains to fold into their three-dimensional structure.

Application Notes

Provided assay concentrations are suggestions only, HSP60 antibody titration may be required for optimal results.

Immunogen

A recombinant protein fragment from human HSP60 was used as the immunogen for this antibody.

Storage

Aliquot the HSP60 antibody and store frozen at -20oC or colder to avoid repeated freeze-thaw cycles.

Alternate Names

Chaperonin 60-KD (CPN60), GROEL, HLD4, HSP65, HSPD1, HuCHA60, Mitochondrial matrix protein P1, Hsp60s1, Spastic paraplegia 13 (SPG13), HSP60 antibody

Cross
Bulk Quote Request Form
Name*:
Organization*:
Email*:
Phone Number*:
Catalog No.*:
Comments and Specifics(amount, formulation, etc.)*:
Validation code: Captchapackage Image


Can't read the image? click here to refresh.
    *required field

Your bulk quote request has been submitted successfully!

Please contact us if you have any questions.