• Tel: 858.663.9055
  • SeparatorEmail: info@nsjbio.com
  • Tel: 858.663.9055
  • Email: info@nsjbio.com
Home >> Antibodies >> HSP47 Antibody / Serpin H1

HSP47 Antibody / Serpin H1 (R31738)

  Catalog No Formulation Size Price (USD)  
Image R31738 0.5mg/ml if reconstituted with 0.2ml sterile DI water 100 ug 449
Bulk quote request
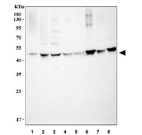
Western blot testing of 1) human A431, 2) human SK-N-SH, 3) human HeLa, 4) rat lung, 5) rat kidney, 6) rat L6, 7) mouse lung and 8) mouse NIH 3T3 cell lysate with HSP47 antibody. Predicted molecular weight ~46 kDa.
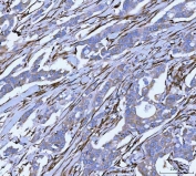
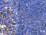
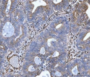
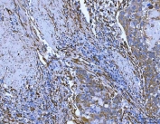
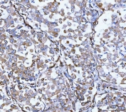
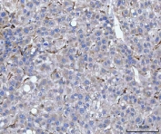
IHC staining of FFPE human esophageal squamous carcinoma tissue with HSP47 antibody. HIER: boil tissue sections in pH8 EDTA for 20 min and allow to cool before testing.
IHC staining of FFPE human endometrial adenocarcinoma tissue with HSP47 antibody. HIER: boil tissue sections in pH8 EDTA for 20 min and allow to cool before testing.
IHC staining of FFPE human breast cancer tissue with HSP47 antibody. HIER: boil tissue sections in pH8 EDTA for 20 min and allow to cool before testing.
IHC staining of FFPE human spleen tissue with HSP47 antibody. HIER: boil tissue sections in pH8 EDTA for 20 min and allow to cool before testing.
IHC staining of FFPE human liver cancer tissue with HSP47 antibody. HIER: boil tissue sections in pH8 EDTA for 20 min and allow to cool before testing.
IHC staining of FFPE human lung adenocarcinoma tissue with HSP47 antibody. HIER: boil tissue sections in pH8 EDTA for 20 min and allow to cool before testing.
Availability 1-3 business days
Species Reactivity Human, Mouse, Rat
Format Antigen affinity purified
Host Rabbit
Clonality Polyclonal (rabbit origin)
Isotype Rabbit IgG
Purity Antigen affinity
Buffer Lyophilized from 1X PBS with 2.5% BSA and 0.025% sodium azide
UniProt P50454
Applications Western Blot : 0.5-1ug/ml
Immunohistochemistry (FFPE) : 2-5ug/ml
Limitations This HSP47 antibody is available for research use only.
Review this product on BioCompare and get a $20 Amazon gift card

Related Products

Description

Heat shock protein 47, also known as SERPINH1, is a serpin which serves as a human chaperone protein for collagen. It is a member of the serpin superfamily of serine proteinase inhibitors. Its expression is induced by heat shock. HSP47 localizes to the endoplasmic reticulum lumen and binds collagen; thus it is thought to be a molecular chaperone involved in the maturation of collagen molecules. Autoantibodies to this protein have been found in patients with rheumatoid arthritis. It has been found that HSP47 monitors the integrity of the triple helix of type I procollagen at the ER/cis-Golgi boundary and, when absent, the rate of transit from the ER to the Golgi is increased and the helical structure is compromised.

Application Notes

The stated application concentrations are suggested starting amounts. Titration of the HSP47 antibody may be required due to differences in protocols and secondary/substrate sensitivity.

Immunogen

Human partial recombinant protein (AA 247-418) was used as the immunogen for this HSP47 antibody.

Storage

After reconstitution, the HSP47 antibody can be stored for up to one month at 4oC. For long-term, aliquot and store at -20oC. Avoid repeated freezing and thawing.

Cross
Bulk Quote Request Form
Name*:
Organization*:
Email*:
Phone Number*:
Catalog No.*:
Comments and Specifics(amount, formulation, etc.)*:
Validation code: Captchapackage Image


Can't read the image? click here to refresh.
    *required field

Your bulk quote request has been submitted successfully!

Please contact us if you have any questions.