- Tel: 858.663.9055
- 
									 Email: info@nsjbio.com Email: info@nsjbio.com
- Tel: 858.663.9055
- Email: info@nsjbio.com
 Email: info@nsjbio.com
Email: info@nsjbio.com
								Related Products
| 
 | 
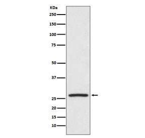
Heat shock protein beta-1, also called HSP27, is a small heat shock protein which functions as a molecular chaperone probably maintaining denatured proteins in a folding-competent state. Plays a role in stress resistance and actin organization. Through its molecular chaperone activity may regulate numerous biological processes including the phosphorylation and the axonal transport of neurofilament proteins. [UniProt]
Optimal dilution of the HSP27 antibody should be determined by the researcher.
A synthetic peptide specific to human HSP27 / HSPB1 was used as the immunogen for the HSP27 antibody.
Store the HSP27 antibody at -20oC.
 
Your bulk quote request has been submitted successfully!
Please contact us if you have any questions.