• Tel: 858.663.9055
  • SeparatorEmail: info@nsjbio.com
  • Tel: 858.663.9055
  • Email: info@nsjbio.com
Home >> Antibodies >> Hsp105 Antibody

Hsp105 Antibody [clone 3D10] (RQ5517)

  Catalog No Formulation Size Price (USD)  
Image RQ5517 0.5mg/ml if reconstituted with 0.2ml sterile DI water 100 ug 439
Bulk quote request
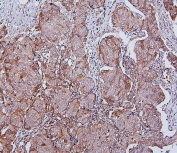
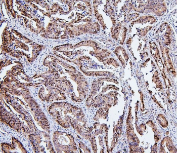
IHC staining of FFPE human intestinal cancer with Hsp105 Antibody antibody. HIER: boil tissue sections in pH6, 10mM citrate buffer, for 20 min and allow to cool before testing.
IHC staining of FFPE human breast cancer with Hsp105 Antibody antibody. HIER: boil tissue sections in pH6, 10mM citrate buffer, for 20 min and allow to cool before testing.
IHC staining of FFPE human lung cancer with Hsp105 Antibody antibody. HIER: boil tissue sections in pH6, 10mM citrate buffer, for 20 min and allow to cool before testing.
Immunofluorescent staining of FFPE human A431 cells with Hsp105 antibody (green) and DAPI (blue). HIER: boil tissue sections in pH6, 10mM citrate buffer, for 20 min and allow to cool before testing.
Western blot testing of human 1) Caco-2, 2) K562, 3) A549, 4) HepG2, 5) PANC-1 and 6) SGC-7901 cell lysate with Hsp105 antibody. Expected molecular weight: 105-110 kDa.
Flow cytometry testing of human HepG2 cells with Hsp105 antibody at 1ug/million cells (blocked with goat sera); Red=cells alone, Green=isotype control, Blue= Hsp105 antibody.
Flow cytometry testing of human A431 cells with Hsp105 antibody at 1ug/million cells (blocked with goat sera); Red=cells alone, Green=isotype control, Blue= Hsp105 antibody.
Immunofluorescent staining of FFPE human MCF7 cells with Hsp105 antibody (green) and DAPI (blue). HIER: boil tissue sections in pH6, 10mM citrate buffer, for 20 min and allow to cool before testing.
Availability 1-3 business days
Species Reactivity Human
Format Antigen affinity purified
Clonality Monoclonal (mouse origin)
Isotype Mouse IgG1
Clone Name 3D10
Purity Affinity purified
Buffer Lyophilized from 1X PBS with 2% Trehalose and 0.025% sodium azide
UniProt Q92598
Applications Western Blot : 0.5-1ug/ml
Immunohistochemistry (FFPE) : 1-2ug/ml
Immunofluorescence : 2-4ug/ml
Flow Cytometry : 1-3ug/million cells
Limitations This Hsp105 antibody is available for research use only.
Review this product on BioCompare and get a $20 Amazon gift card

Related Products

  • Applications : WB, IHC-P, IHC-F
    Reactivity : Human, Mouse, Rat
  • Applications : WB, IHC-P, ELISA
    Reactivity : Human, Mouse, Rat

Description

HSP105 (HEAT-SHOCK 105/110-KD PROTEIN 1), also called HSPH1 or HSP110, is a protein that in humans is encoded by the HSPH1 gene. Immunohistochemical analysis localizes HSP105 mainly in the cytoplasm. Database analysis indicates that both HSP105 isoforms are highly conserved during evolution. By analysis of radiation hybrids and human/rodent hybrid cell lines, the HSPH1 gene is mapped to chromosome 13. Both HSP105-alpha and HSP105-beta are upregulated in HeLa cells exposed to heat shock. HSP105-alpha, but not HSP105-beta, is also upregulate in response to other cell stresses. Following heat shock, HSP105 relocalizes from a cytoplasmic to perinuclear position. Besides, HSP110 may thus constitute a major determinant for both prognosis and treatment response in colorectal cancer.

Application Notes

Optimal dilution of the Hsp105 antibody should be determined by the researcher.

Immunogen

A human recombinant protein (amino acids Y653-D858) was used as the immunogen for the Hsp105 antibody.

Storage

After reconstitution, the Hsp105 antibody can be stored for up to one month at 4oC. For long-term, aliquot and store at -20oC. Avoid repeated freezing and thawing.

Cross
Bulk Quote Request Form
Name*:
Organization*:
Email*:
Phone Number*:
Catalog No.*:
Comments and Specifics(amount, formulation, etc.)*:
Validation code: Captchapackage Image


Can't read the image? click here to refresh.
    *required field

Your bulk quote request has been submitted successfully!

Please contact us if you have any questions.