• Tel: 858.663.9055
  • SeparatorEmail: info@nsjbio.com
  • Tel: 858.663.9055
  • Email: info@nsjbio.com
Home >> Antibodies >> HSDL2 Antibody / Hydroxysteroid dehydrogenase-like protein 2

HSDL2 Antibody / Hydroxysteroid dehydrogenase-like protein 2 (RQ8825)

  Catalog No Formulation Size Price (USD)  
Image RQ8825 0.5mg/ml if reconstituted with 0.2ml sterile DI water 100 ug 449
Bulk quote request
Immunofluorescent staining of FFPE human HSDL2 cells with PAPSS2 antibody (red), Phalloidin-iFluor 488 (green) and DAPI nuclear stain (blue). HIER: steam section in pH6 citrate buffer for 20 min.
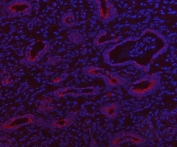
Immunofluorescent staining of FFPE human intestinal cancer tissue with HSDL2 antibody (red) and DAPI nuclear stain (blue). HIER: steam section in pH8 EDTA buffer for 20 min.
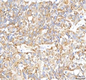
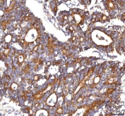
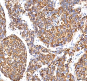
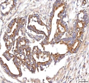
IHC staining of FFPE human liver cancer tissue with HSDL2 antibody. HIER: boil tissue sections in pH8 EDTA for 20 min and allow to cool before testing.
IHC staining of FFPE human colon adenocarcinoma tissue with HSDL2 antibody. HIER: boil tissue sections in pH8 EDTA for 20 min and allow to cool before testing.
IHC staining of FFPE human lung cancer tissue with HSDL2 antibody. HIER: boil tissue sections in pH8 EDTA for 20 min and allow to cool before testing.
IHC staining of FFPE human pancreas ductal adenocarcinoma tissue with HSDL2 antibody. HIER: boil tissue sections in pH8 EDTA for 20 min and allow to cool before testing.
IHC staining of FFPE human testicular seminoma tissue with HSDL2 antibody. HIER: boil tissue sections in pH8 EDTA for 20 min and allow to cool before testing.
IHC staining of FFPE human urothelial carcinoma tissue with HSDL2 antibody. HIER: boil tissue sections in pH8 EDTA for 20 min and allow to cool before testing.
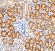
IHC staining of FFPE mouse kidney tissue with HSDL2 antibody. HIER: boil tissue sections in pH8 EDTA for 20 min and allow to cool before testing.
IHC staining of FFPE rat kidney tissue with HSDL2 antibody. HIER: boil tissue sections in pH8 EDTA for 20 min and allow to cool before testing.
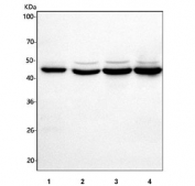
Western blot testing of human 1) 293T, 2) HeLa, 3) Caco-2 and 4) HepG2 cell lysate with HSDL2 antibody. Predicted molecular weight ~45 kDa.
Flow cytometry testing of fixed and permeabilized human HepG2 cells with HSDL2 antibody at 1ug/million cells (blocked with goat sera); Red=cells alone, Green=isotype control, Blue= HSDL2 antibody.
Availability 1-3 days
Species Reactivity Human, Mouse, Rat
Format Antigen affinity purified
Host Rabbit
Clonality Polyclonal (rabbit origin)
Isotype Rabbit IgG
Purity Antigen affinity chromatography
Buffer Lyophilized from 1X PBS with 2% Trehalose
UniProt Q6YN16
Localization Cytoplasm
Applications Western Blot : 1-2ug/ml
Immunohistochemistry (FFPE) : 2-5ug/ml
Immunofluorescence : 5ug/ml
Flow Cytometry : 1-3ug/million cells
ELISA : 0.1-0.5ug/ml
Limitations This HSDL2 antibody is available for research use only.
Review this product on BioCompare and get a $20 Amazon gift card

Description

Hydroxysteroid dehydrogenase-like protein 2 controls bile acid (BA) and lipid metabolism in response to nutritional cues. It appears to have no steroid dehydrogenase activity. [UniProt]

Application Notes

Optimal dilution of the HSDL2 antibody should be determined by the researcher.

Immunogen

An E.coli-derived human recombinant protein (amino acids K24-K284) was used as the immunogen for the HSDL2 antibody.

Storage

After reconstitution, the HSDL2 Antibody can be stored for up to one month at 4oC. For long-term, aliquot and store at -20oC. Avoid repeated freezing and thawing.

Cross
Bulk Quote Request Form
Name*:
Organization*:
Email*:
Phone Number*:
Catalog No.*:
Comments and Specifics(amount, formulation, etc.)*:
Validation code: Captchapackage Image


Can't read the image? click here to refresh.
    *required field

Your bulk quote request has been submitted successfully!

Please contact us if you have any questions.