• Tel: 858.663.9055
  • SeparatorEmail: info@nsjbio.com
  • Tel: 858.663.9055
  • Email: info@nsjbio.com
Home >> Antibodies >> HSD3B7 Antibody / 3 beta-hydroxysteroid dehydrogenase type 7

HSD3B7 Antibody / 3 beta-hydroxysteroid dehydrogenase type 7 (RQ8692)

  Catalog No Formulation Size Price (USD)  
Image RQ8692 0.5mg/ml if reconstituted with 0.2ml sterile DI water 100 ug 449
Bulk quote request
Immunofluorescent staining of FFPE human A549 cells with HSD3B7 antibody (red) and DAPI nuclear stain (blue). HIER: steam section in pH6 citrate buffer for 20 min.
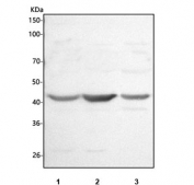
Western blot testing of human 1) HeLa, 2) MCF7 and 3) HepG2 cell lysate with HSD3B7 antibody. Predicted molecular weight ~41 kDa.
IHC staining of FFPE human liver tissue with HSD3B7 antibody, HRP-secondary and DAB substrate. HIER: boil tissue sections in pH8 EDTA for 20 min and allow to cool before testing.
Availability 1-3 days
Species Reactivity Human
Format Antigen affinity purified
Host Rabbit
Clonality Polyclonal (rabbit origin)
Isotype Rabbit IgG
Purity Antigen affinity chromatography
Buffer Lyophilized from 1X PBS with 2% Trehalose
UniProt Q9H2F3
Localization Cytoplasm (ER)
Applications Western Blot : 1-2ug/ml
Immunofluorescence : 5ug/ml
ELISA : 0.1-0.5ug/ml
Immunohistochemistry (FFPE) : 2-5ug/ml
Limitations This HSD3B7 antibody is available for research use only.
Review this product on BioCompare and get a $20 Amazon gift card

Description

HSD3B7 (3 beta-hydroxysteroid dehydrogenase type 7) is an essential enzyme in the bile acid biosynthetic pathway. Unlike other members of the 3-beta-hydroxysteroid dehydrogenase family, which are primarily involved in steroid hormone synthesis, HSD3B7 functions specifically in the conversion of 7-alpha-hydroxycholesterol to bile acids. This reaction is necessary for the production of primary bile acids, such as cholic acid and chenodeoxycholic acid, which are critical for lipid absorption and cholesterol homeostasis. Researchers often use an HSD3B7 antibody to investigate bile acid metabolism and liver function.

HSD3B7 is localized to the endoplasmic reticulum and acts as a key checkpoint enzyme in the 'classic' bile acid synthesis pathway. Its activity ensures that cholesterol is effectively converted into bile acids, preventing toxic accumulation of cholesterol intermediates. Employing an HSD3B7 antibody allows scientists to explore enzyme distribution, regulation, and its role in maintaining metabolic balance.

Mutations in the HSD3B7 gene cause congenital bile acid synthesis defect type 1, a rare autosomal recessive disorder characterized by cholestasis, liver dysfunction, and impaired bile acid production. Early detection and treatment are essential for affected patients, making HSD3B7 an important target in clinical diagnostics and research. Studying this protein with an HSD3B7 antibody helps clarify its role in liver disease and provides insights into potential therapeutic strategies.

NSJ Bioreagents provides a high-quality HSD3B7 antibody validated for applications including western blot, immunohistochemistry, and immunofluorescence. Choosing an HSD3B7 antibody from NSJ Bioreagents ensures reliable detection and reproducibility in studies of bile acid metabolism, cholesterol regulation, and metabolic disorders.

Application Notes

Optimal dilution of the HSD3B7 antibody should be determined by the researcher.

Immunogen

An E.coli-derived human recombinant protein (amino acids E23-A363) was used as the immunogen for the HSD3B7 antibody.

Storage

After reconstitution, the HSD3B7 antibody can be stored for up to one month at 4oC. For long-term, aliquot and store at -20oC. Avoid repeated freezing and thawing.

Cross
Bulk Quote Request Form
Name*:
Organization*:
Email*:
Phone Number*:
Catalog No.*:
Comments and Specifics(amount, formulation, etc.)*:
Validation code: Captchapackage Image


Can't read the image? click here to refresh.
    *required field

Your bulk quote request has been submitted successfully!

Please contact us if you have any questions.