• Tel: 858.663.9055
  • SeparatorEmail: info@nsjbio.com
  • Tel: 858.663.9055
  • Email: info@nsjbio.com
Home >> Antibodies >> HSD17B13 Antibody / Hydroxysteroid 17 beta dehydrogenase 13

HSD17B13 Antibody / Hydroxysteroid 17 beta dehydrogenase 13 [clone HSD17B13/13105] (V5914)

  Catalog No Formulation Size Price (USD)  
Image V5914-100UG 0.2 mg/ml in 1X PBS with 0.05% BSA, 0.05% sodium azide 100 ug 559
Image
V5914-20UG 0.2 mg/ml in 1X PBS with 0.05% BSA, 0.05% sodium azide 20 ug 259
Image
V5914SAF-100UG 1 mg/ml in 1X PBS; BSA free, sodium azide free 100 ug 559
Bulk quote request
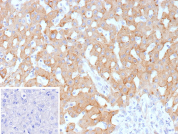
Formalin-fixed, paraffin-embedded human hepatocellular carcinoma stained with HSD17B13/Hydroxysteroid 17 beta dehydrogenase 13 antibody (clone HSD17B13/13105). Tumor hepatocytes show diffuse cytoplasmic brown chromogenic staining consistent with Hydroxysteroid 17 beta dehydrogenase 13 expression, while nuclei are counterstained blue. Inset shows a PBS-only negative control processed without primary antibody, demonstrating minimal non-specific background staining.
Analysis of Protein Array containing more than 19,000 full-length human proteins using HSD17B13/Hydroxysteroid 17 beta dehydrogenase 13 antibody (clone HSD17B13/13105). Z- and S- Score: The Z-score represents the strength of a signal that a monoclonal antibody (MAb) (in combination with a fluorescently-tagged anti-IgG secondary antibody) produces when binding to a particular protein on the HuProtTM array. Z-scores are described in units of standard deviations (SD's) above the mean value of all signals generated on that array. If targets on HuProtTM are arranged in descending order of the Z-score, the S-score is the difference (also in units of SD's) between the Z-score. S-score therefore represents the relative target specificity of a MAb to its intended target. A MAb is considered to specific to its intended target, if the MAb has an S-score of at least 2.5. For example, if a MAb binds to protein X with a Z-score of 43 and to protein Y with a Z-score of 14, then the S-score for the binding of that MAb to protein X is equal to 29.
SDS-PAGE Analysis of purified HSD17B13/Hydroxysteroid 17 beta dehydrogenase 13 antibody (clone HSD17B13/13105). Confirmation of Purity and Integrity of Antibody.
Species Reactivity Human
Format Purified
Host Mouse
Clonality Monoclonal (mouse origin)
Isotype Mouse IgG2b, kappa
Clone Name HSD17B13/13105
UniProt Q7Z5P4
Localization Cytoplasm, Endoplasmic reticulum, Lipid droplet
Applications Immunohistochemistry (FFPE) : 1-2ug/ml
Western Blot : 2-4ug/ml
Limitations This HSD17B13/Hydroxysteroid 17 beta dehydrogenase 13 antibody is available for research use only.
Review this product on BioCompare and get a $20 Amazon gift card

Related Products

Description

HSD17B13 antibody targets Hydroxysteroid 17 beta dehydrogenase 13, a liver-enriched enzyme encoded by the HSD17B13 gene that belongs to the hydroxysteroid dehydrogenase family. Hydroxysteroid 17 beta dehydrogenase 13 is predominantly localized to the cytoplasm and lipid droplet-associated compartments of hepatocytes, where it participates in hepatic lipid metabolism and steroid-related redox processes. Because of its strong liver specificity, an HSD17B13 antibody is widely used in studies of liver biology and metabolic disease.

Hydroxysteroid 17 beta dehydrogenase 13 is structurally related to other 17 beta-hydroxysteroid dehydrogenases but displays distinct substrate specificity and tissue distribution. It contains a conserved short-chain dehydrogenase reductase domain, supporting enzymatic activity linked to lipid and steroid metabolism. In hepatocytes, HSD17B13 associates with lipid droplets and is thought to modulate lipid storage and turnover, making antibody-based detection valuable for investigating hepatocellular metabolic regulation.

Genetic studies have identified HSD17B13 as a key modifier of liver disease risk. Specific loss-of-function variants in the HSD17B13 gene are associated with protection against non-alcoholic fatty liver disease, steatohepatitis, and progression to cirrhosis. Conversely, altered expression of Hydroxysteroid 17 beta dehydrogenase 13 has been reported in fatty liver disease and hepatocellular carcinoma. Use of an HSD17B13 antibody enables analysis of protein expression patterns linked to liver pathology and disease susceptibility.

Hydroxysteroid 17 beta dehydrogenase 13 expression is largely restricted to liver tissue, with minimal expression detected in most extrahepatic tissues. This restricted distribution makes HSD17B13 a useful marker for hepatocyte identity and liver-specific metabolic states. An HSD17B13 antibody can therefore support studies of hepatic differentiation, liver injury, and metabolic remodeling.

Clone HSD17B13/13105 is designed to recognize Hydroxysteroid 17 beta dehydrogenase 13 and supports detection of HSD17B13 expression in research applications. NSJ Bioreagents offers this HSD17B13 antibody to support investigations into liver metabolism, fatty liver disease, and hepatocellular biology.

Application Notes

Optimal dilution of the HSD17B13/Hydroxysteroid 17 beta dehydrogenase 13 antibody should be determined by the researcher.

Immunogen

A recombinant fragment (around amino acids 1-200) of human HSD17B13 protein (exact sequence is proprietary) was used as the immunogen for the HSD17B13/Hydroxysteroid 17 beta dehydrogenase 13 antibody.

Storage

HSD17B13/Hydroxysteroid 17 beta dehydrogenase 13 antibody with sodium azide - store at 2 to 8oC; antibody without sodium azide - store at -20 to -80oC.

Cross
Bulk Quote Request Form
Name*:
Organization*:
Email*:
Phone Number*:
Catalog No.*:
Comments and Specifics(amount, formulation, etc.)*:
Validation code: Captchapackage Image


Can't read the image? click here to refresh.
    *required field

Your bulk quote request has been submitted successfully!

Please contact us if you have any questions.