• Tel: 858.663.9055
  • SeparatorEmail: info@nsjbio.com
  • Tel: 858.663.9055
  • Email: info@nsjbio.com
Home >> Antibodies >> HSD17B1 Antibody

HSD17B1 Antibody (R30694)

  Catalog No Formulation Size Price (USD)  
Image R30694 0.5mg/ml if reconstituted with 0.2ml sterile DI water 100 ug 449
Bulk quote request
Western blot testing of 1) human T-47D, 2) human 293T and 3) rat C6 cell lysate with HSD17B1 antibody. Predicted molecular weight ~35 kDa.
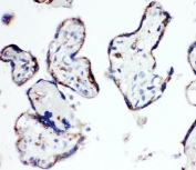
IHC-P: HSD17B1 antibody testing of human placenta tissue with HSD17B1 antibody. Required HIER: steam section in pH6 citrate buffer for 20 min.
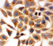
ICC testing of FFPE human HeLa cells with HSD17B1 antibody. Required HIER: steam section in pH6 citrate buffer for 20 min.
IHC-P: HSD17B1 antibody testing of rat ovary tissue with HSD17B1 antibody. Required HIER: steam section in pH6 citrate buffer for 20 min.
IHC-P testing of rat liver tissue with HSD17B1 antibody. Required HIER: steam section in pH6 citrate buffer for 20 min.
Availability 1-3 business days
Species Reactivity Human, Rat
Format Antigen affinity purified
Host Rabbit
Clonality Polyclonal (rabbit origin)
Isotype Rabbit IgG
Purity Antigen affinity
Buffer Lyophilized from 1X PBS with 2.5% BSA and 0.025% sodium azide/thimerosal
UniProt P14061
Applications Western Blot : 0.5-1ug/ml
Immunohistochemistry (FFPE) : 0.5-1ug/ml
Immunocytochemistry : 0.5-1ug/ml
Limitations This HSD17B1 antibody is available for research use only.
Review this product on BioCompare and get a $20 Amazon gift card

Related Products

  • Applications : WB
    Reactivity : Human

Description

17-beta-Hydroxysteroid dehydrogenas I, also known as 17-beta-hydroxysteroid dehydrogenase or 17-ketosteroid reductase, is an enzyme that is responsible for the interconversion of estrone(E1) and estradiol(E2) as well as the interconversion of androstenedione and testosterone. HSD17B1 gene expression is detected in 34 of 42 (81%) adenomas in all tumor subtypes; HSD17B2 mRNA is detected in 18 of 42(43%) adenomas but not in prolactinomas. Human estrogenic HSD17B1 is an NADP(H)-preferring enzyme. It possesses 11- and 4-fold higher specificity toward NADP(H) over NAD(H) for oxidation and reduction, respectively, as demonstrated by kinetic studies. All four isoforms are variably expressed in human anterior pituitary adenomas, which also show HSD17B enzyme activity, suggesting that it may play an important role in regulating the local cellular levels of estradiol.

Application Notes

The stated application concentrations are suggested starting amounts. Titration of the HSD17B1 antibody may be required due to differences in protocols and secondary/substrate sensitivity.

Immunogen

Amino acids 29-43 (QSFKVYATLRDLKTQ-human) were used as the immunogen for this HSD17B1 antibody.

Storage

After reconstitution, the HSD17B1 antibody can be stored for up to one month at 4oC. For long-term, aliquot and store at -20oC. Avoid repeated freezing and thawing.

Cross
Bulk Quote Request Form
Name*:
Organization*:
Email*:
Phone Number*:
Catalog No.*:
Comments and Specifics(amount, formulation, etc.)*:
Validation code: Captchapackage Image


Can't read the image? click here to refresh.
    *required field

Your bulk quote request has been submitted successfully!

Please contact us if you have any questions.