• Tel: 858.663.9055
  • SeparatorEmail: info@nsjbio.com
  • Tel: 858.663.9055
  • Email: info@nsjbio.com
Home >> Antibodies >> HSD11B2 Antibody / HSD11K

HSD11B2 Antibody / HSD11K (R32170)

  Catalog No Formulation Size Price (USD)  
Image R32170 0.5mg/ml if reconstituted with 0.2ml sterile DI water 100 ug 449
Bulk quote request
Western blot testing of 1) rat kidney and 2) human placenta lysate with HSD11B2 antibody. Expected/observed molecular weight ~44 kDa.
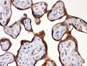
IHC testing of human placenta with HSD11B2 antibody. HIER: Boil the paraffin sections in pH 6, 10mM citrate buffer for 20 minutes and allow to cool prior to staining.
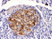
IHC testing of mouse pancreas with HSD11B2 antibody. HIER: Boil the paraffin sections in pH 6, 10mM citrate buffer for 20 minutes and allow to cool prior to staining.
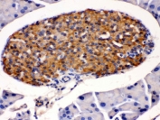
IHC testing of rat pancreas with HSD11B2 antibody. HIER: Boil the paraffin sections in pH 6, 10mM citrate buffer for 20 minutes and allow to cool prior to staining.
Western blot testing of 1) rat kidney, 2) mouse kidney and 3) human placenta lysate with HSD11B2 antibody. Expected/observed molecular weight ~44 kDa.
Immunofluorescent staining of FFPE human placental tissue with HSD11B2 antibody (green) and DAPI nuclear stain (blue). HIER: steam section in pH8 EDTA buffer for 20 min.
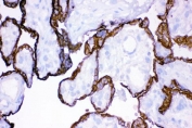
IHC staining of frozen human placental tissue with HSD11B2 antibody.
IHC staining of frozen mouse kidney tissue with HSD11B2 antibody.
IHC staining of frozen rat kidney tissue with HSD11B2 antibody.
Availability 1-3 business days
Species Reactivity Human, Mouse, Rat
Format Antigen affinity purified
Host Rabbit
Clonality Polyclonal (rabbit origin)
Isotype Rabbit IgG
Purity Antigen affinity
Buffer Lyophilized from 1X PBS with 2.5% BSA and 0.025% sodium azide
UniProt P80365
Localization Cytoplasmic, membranous
Applications Western Blot : 0.5-1ug/ml
Immunohistochemistry (FFPE) : 2-5ug/ml
Immunohistochemistry (Frozen) : 2-5ug/ml
Immunofluorescence : 5ug/ml
Limitations This HSD11B2 antibody is available for research use only.
Review this product on BioCompare and get a $20 Amazon gift card

Related Products

  • Applications : WB, IHC-P, FACS, IF, Direct ELISA
    Reactivity : Human

Description

Corticosteroid 11-β-dehydrogenase isozyme 2, also known as 11-β-hydroxysteroid dehydrogenase 2, is an enzyme that in humans is encoded by the HSD11B2 gene. There are at least two isozymes of the corticosteroid 11-beta-dehydrogenase, a microsomal enzyme complex responsible for the interconversion of cortisol and cortisone. The type I isozyme has both 11-beta-dehydrogenase (cortisol to cortisone) and 11-oxoreductase (cortisone to cortisol) activities. The type II isozyme, encoded by this gene, has only 11-beta-dehydrogenase activity. In aldosterone-selective epithelial tissues such as the kidney, the type II isozyme catalyzes the glucocorticoid cortisol to the inactive metabolite cortisone, thus preventing illicit activation of the mineralocorticoid receptor. In tissues that do not express the mineralocorticoid receptor, such as the placenta and testis, it protects cells from the growth-inhibiting and/or pro-apoptotic effects of cortisol, particularly during embryonic development. Mutations in this gene cause the syndrome of apparent mineralocorticoid excess and hypertension.

Application Notes

Optimal dilution of the HSD11B2 antibody should be determined by the researcher.

Immunogen

Amino acids EKRKQLLLANLPQELLQAYGKDYIEHLHGQFLH of human HSD11B2 were used as the immunogen for the HSD11B2 antibody.

Storage

After reconstitution, the HSD11B2 antibody can be stored for up to one month at 4oC. For long-term, aliquot and store at -20oC. Avoid repeated freezing and thawing.

Cross
Bulk Quote Request Form
Name*:
Organization*:
Email*:
Phone Number*:
Catalog No.*:
Comments and Specifics(amount, formulation, etc.)*:
Validation code: Captchapackage Image


Can't read the image? click here to refresh.
    *required field

Your bulk quote request has been submitted successfully!

Please contact us if you have any questions.