• Tel: 858.663.9055
  • SeparatorEmail: info@nsjbio.com
  • Tel: 858.663.9055
  • Email: info@nsjbio.com
Home >> Antibodies >> HSD11B1 Antibody / 11-beta-hydroxysteroid dehydrogenase type 1

HSD11B1 Antibody / 11-beta-hydroxysteroid dehydrogenase type 1 (R30441)

  Catalog No Formulation Size Price (USD)  
Image R30441 0.5mg/ml if reconstituted with 0.2ml sterile DI water 100 ug 449
Bulk quote request
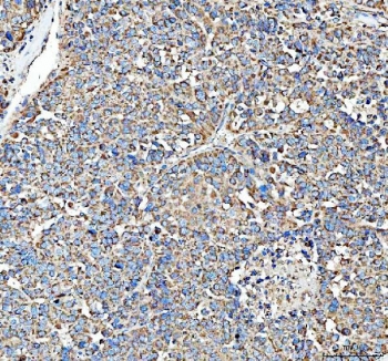
IHC staining of FFPE human liver cancer tissue with HSD11B1 antibody. HIER: boil tissue sections in pH8 EDTA for 20 min and allow to cool before testing.
Western blot testing of 1) human HCCT, 2) human HCCP, 3) monkey liver, 4) rat liver and 5) mouse liver tissue lysate with HSD11B1 antibody. Predicted molecular weight: ~32 kDa.
Availability 1-3 business days
Species Reactivity Human, Mouse, Rat, Monkey
Format Antigen affinity purified
Host Rabbit
Clonality Polyclonal (rabbit origin)
Isotype Rabbit IgG
Purity Antigen affinity
Buffer Lyophilized from 1X PBS with 2% Trehalose
UniProt P28845
Applications Western Blot : 0.5-1ug/ml
Immunohistochemistry (FFPE) : 2-5ug/ml
Limitations This HSD11B1 antibody is available for research use only.
Review this product on BioCompare and get a $20 Amazon gift card

Related Products

  • Applications : WB, ELISA (peptide)
    Reactivity : Human
    Pred. Reactivity : Cow
  • Applications : WB, ELISA (peptide)
    Reactivity : Mouse
    Pred. Reactivity : Rat

Description

11-beta-hydroxysteroid dehydrogenase type 1 is an NADPH-dependent enzyme highly expressed in key metabolic tissues including liver, adipose tissue, and the central nervous system. In these tissues, HSD11B1 reduces cortisone to the active hormone cortisol that activates glucocorticoid receptors. It is inhibited by carbenoxolone, a drug typically used in the treatment of peptic ulcers. Tannin et al.(1991) localized the HSD11B1 gene to chromosome 1. The localization was confirmed by isolating the gene from a chromosome 1-specific library using the cDNA as a probe. Schutte et al.(2000) mapped the HSD11B1 gene to 1q32-q41.

Application Notes

The stated application concentrations are suggested starting amounts. Titration of the HSD11B1 antibody may be required due to differences in protocols and secondary/substrate sensitivity.

Immunogen

An amino acid sequence from the N-terminus of human HSD11B1 (MAYYYYSANEEFRPEMLQ) was used as the immunogen for this HSD11B1 antibody.

Storage

After reconstitution, the HSD11B1 antibody can be stored for up to one month at 4oC. For long-term, aliquot and store at -20oC. Avoid repeated freezing and thawing.

Cross
Bulk Quote Request Form
Name*:
Organization*:
Email*:
Phone Number*:
Catalog No.*:
Comments and Specifics(amount, formulation, etc.)*:
Validation code: Captchapackage Image


Can't read the image? click here to refresh.
    *required field

Your bulk quote request has been submitted successfully!

Please contact us if you have any questions.