• Tel: 858.663.9055
  • SeparatorEmail: info@nsjbio.com
  • Tel: 858.663.9055
  • Email: info@nsjbio.com
Home >> Antibodies >> HSC70 Antibody / HSPA8

HSC70 Antibody / HSPA8 (R30315)

  Catalog No Formulation Size Price (USD)  
Image R30315 0.5mg/ml if reconstituted with 0.2ml sterile DI water 100 ug 449
Bulk quote request
Immunofluorescent staining of FFPE human HeLa cells with HSC70 antibody (green) and DAPI nuclear stain (blue). HIER: steam section in pH6 citrate buffer for 20 min.
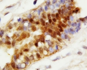
IHC-P: HSC70 antibody testing of human breast cancer tissue. HIER: boil tissue sections in pH6, 10mM citrate buffer, for 20 min and allow to cool before testing.
ICC testing of HSC70 antibody and human HeLa cells. HIER: boil tissue sections in pH6, 10mM citrate buffer, for 20 min and allow to cool before testing.
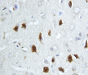
IHC-P testing of rat brain tissue with HSC70 antibody. HIER: boil tissue sections in pH6, 10mM citrate buffer, for 20 min and allow to cool before testing.
IHC-F testing of rat intestine tissue with HSC70 antibody.
Flow cytometry testing of human 293T cells with HSC70 antibody at 1ug/million cells (blocked with goat sera); Red=cells alone, Green=isotype control, Blue= HSC70 antibody.
Western blot testing of human 1) HEK293, 2) Caco-2, 3) PC-3, 4) ThP-1 and 5) U-2 OS lysate with HSC70 antibody. Expected molecular weight: 70-73 kDa.
Western blot testing of rat 1) brain, 2) liver, 3) spleen, 4) PC-12 and mouse 5) brain, 6) liver, 7) spleen and 8) RAW264.7 lysate with HSC70 antibody. Expected molecular weight: 70-73 kDa.
Availability 1-3 business days
Species Reactivity Human, Mouse, Rat
Format Antigen affinity purified
Host Rabbit
Clonality Polyclonal (rabbit origin)
Isotype Rabbit IgG
Purity Antigen affinity
Buffer Lyophilized from 1X PBS with 2.5% BSA and 0.025% sodium azide/thimerosal
UniProt P11142
Applications Western Blot : 0.5-1ug/ml
Immunohistochemistry (FFPE) : 0.5-1ug/ml
Immunohistochemistry (Frozen) : 0.5-1ug/ml
Immunocytochemistry : 0.5-1ug/ml
Immunofluorescence (FFPE) : 2-4ug/ml
Flow Cytometry : 1-3ug/million cells
Limitations This HSC70 antibody is available for research use only.
Review this product on BioCompare and get a $20 Amazon gift card

Related Products

Description

The 70 kilodalton heat shock proteins (Hsp70s) are a family of ubiquitously expressed heat shock proteins. The Hsp70s are an important part of the cell's machinery for protein folding, and help to protect cells from stress. All of the Hsp70 proteins have three major functional domains: An N-terminal ATPase domain binds ATP (Adenosine triphosphate) and hydrolyzes it to ADP (Adenosine diphosphate); A substrate binding domain contains a groove with an affinity for neutral, hydrophobic amino acid residues; A C-terminal domain rich in alpha helical structure acts as a 'lid' for the substrate binding domain. By binding tightly to partially-synthesized peptide sequences(incomplete proteins), Hsp70 prevents them from aggregating and being rendered nonfunctional. And it also can act to protect cells from thermal or oxidative stress. Finally, Hsp70 seems to be able to participate in disposal of damaged or defective proteins. Interaction with CHIP (Carboxyl-terminus of Hsp70 Interacting Protein), an E3 ubiquitin ligase, allows Hsp70 to pass proteins to the cell's ubiquitination and proteolysis pathways.

Application Notes

The stated application concentrations are suggested starting amounts. Titration of the HSC70 antibody may be required due to differences in protocols and secondary/substrate sensitivity.

Immunogen

An amino acid sequence from the N-terminus of human HSC70 (TTYSCVGVFQHGKVEIIAN) was used as the immunogen for this HSC70 antibody (100% homologous in human, mouse and rat).

Storage

After reconstitution, the HSC70 antibody can be stored for up to one month at 4oC. For long-term, aliquot and store at -20oC. Avoid repeated freezing and thawing.

Cross
Bulk Quote Request Form
Name*:
Organization*:
Email*:
Phone Number*:
Catalog No.*:
Comments and Specifics(amount, formulation, etc.)*:
Validation code: Captchapackage Image


Can't read the image? click here to refresh.
    *required field

Your bulk quote request has been submitted successfully!

Please contact us if you have any questions.