• Tel: 858.663.9055
  • SeparatorEmail: info@nsjbio.com
  • Tel: 858.663.9055
  • Email: info@nsjbio.com
Home >> Antibodies >> HSC70 Antibody / HSPA8

HSC70 Antibody / HSPA8 (F54784)

  Catalog No Formulation Size Price (USD)  
Image F54784-0.4ML In 1X PBS, pH 7.4, with 0.09% sodium azide 0.4 ml 439
Image
F54784-0.08ML In 1X PBS, pH 7.4, with 0.09% sodium azide 0.08 ml 205
Bulk quote request
Flow cytometry testing of human HeLa cells with HSC70 antibody; Blue=isotype control, Green= HSC70 antibody.
Immunofluorescent staining of human HeLa cells with HSC70 antibody (green), DAPI nuclear stain (blue) and anti-Actin (red).
Western blot testing of 1) rat H-4-II-E and 2) mouse NIH 3T3 cell lysate with HSPA8 antibody. Expected molecular weight: 70-73 kDa.
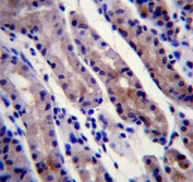
IHC testing of FFPE human stomach tissue with HSC70 antibody. HIER: steam section in pH6 citrate buffer for 20 min and allow to cool prior to staining.
Availability 1-3 business days
Species Reactivity Human, Mouse, Rat
Format Purified
Host Rabbit
Clonality Polyclonal (rabbit origin)
Isotype Rabbit Ig
Purity Purified
UniProt P11142
Localization Cytoplasmic, nuclear
Applications Western Blot : 1:500-1:1000
Flow Cytometry : 1:25 (1x10e6 cells)
Immunohistochemistry (FFPE) : 1:25
Immunofluorescence : 1:25
Limitations This HSC70 antibody is available for research use only.
Review this product on BioCompare and get a $20 Amazon gift card

Related Products

Description

HSPA8 / HSC70 belongs to the heat shock protein 70 family which contains both heat-inducible and constitutively expressed members. The latter are called heat-shock cognate proteins. HSPA8 is a heat-shock cognate protein. This protein binds to nascent polypeptides to facilitate correct folding. The protein also functions as an ATPase in the disassembly of clathrin-coated vesicles during transport of membrane components through the cell.

Application Notes

The stated application concentrations are suggested starting points. Titration of the HSC70 antibody may be required due to differences in protocols and secondary/substrate sensitivity.

Immunogen

A portion of amino acids 539-569 from the human protein was used as the immunogen for the HSC70 antibody.

Storage

Aliquot the HSC70 antibody and store frozen at -20oC or colder. Avoid repeated freeze-thaw cycles.

Cross
Bulk Quote Request Form
Name*:
Organization*:
Email*:
Phone Number*:
Catalog No.*:
Comments and Specifics(amount, formulation, etc.)*:
Validation code: Captchapackage Image


Can't read the image? click here to refresh.
    *required field

Your bulk quote request has been submitted successfully!

Please contact us if you have any questions.