• Tel: 858.663.9055
  • SeparatorEmail: info@nsjbio.com
  • Tel: 858.663.9055
  • Email: info@nsjbio.com
Home >> Antibodies >> HRS Antibody

HRS Antibody (R34908)

  Catalog No Formulation Size Price (USD)  
Image R34908-100UG 0.5 mg/ml in 1X TBS, pH7.3, with 0.5% BSA (US sourced) and 0.02% sodium azide 100 ug 475
Bulk quote request
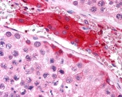
IHC testing of FFPE human testis with HRS antibody at 2.5ug/ml. HIER: steamed with pH6 citrate buffer, AP-staining.
Availability 1-3 business days
Species Reactivity Human
Predicted Reactivity Dog, Mouse, Rat
Format Antigen affinity purified
Host Goat
Clonality Polyclonal (goat origin)
Isotype Goat Ig
Purity Antigen affinity
Gene ID 9146
Applications Immunohistochemistry (FFPE) : 1-2ug/ml
ELISA (peptide) LOD : 1:32000
Limitations This HRS antibody is available for research use only.
Review this product on BioCompare and get a $20 Amazon gift card

Related Products

Description

Additional name(s) for this target protein: Hepatocyte growth factor-regulated tyrosine kinase substrate; HGS

Application Notes

Optimal dilution of the HRS antibody should be determined by the researcher.

Immunogen

Amino acids NRNYWEKKQEEARK were used as the immunogen for this HRS antibody.

Storage

Aliquot and store the HRS antibody at -20oC.

Cross
Bulk Quote Request Form
Name*:
Organization*:
Email*:
Phone Number*:
Catalog No.*:
Comments and Specifics(amount, formulation, etc.)*:
Validation code: Captchapackage Image


Can't read the image? click here to refresh.
    *required field

Your bulk quote request has been submitted successfully!

Please contact us if you have any questions.