• Tel: 858.663.9055
  • SeparatorEmail: info@nsjbio.com
  • Tel: 858.663.9055
  • Email: info@nsjbio.com
Home >> Antibodies >> HRPAP20 Antibody / NDUFAF4 / C6orf66

HRPAP20 Antibody / NDUFAF4 / C6orf66 (RQ8084)

  Catalog No Formulation Size Price (USD)  
Image RQ8084 0.5mg/ml if reconstituted with 0.2ml sterile DI water 100 ug 449
Bulk quote request
Immunofluorescent staining of FFPE human intestinal cancer tissue with HRPAP20 antibody (red) and DAPI nuclear stain (blue). HIER: steam section in pH8 EDTA buffer for 20 min.
Immunofluorescent staining of FFPE human HeLa cells with HRPAP20 antibody (red) and DAPI nuclear stain (blue). HIER: steam section in pH6 citrate buffer for 20 min.
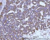
IHC staining of FFPE human lung adenocarcinoma tissue with HRPAP20 antibody. HIER: boil tissue sections in pH8 EDTA for 20 min and allow to cool before testing.
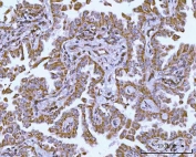
IHC staining of FFPE human ovarian tumor tissue with HRPAP20 antibody. HIER: boil tissue sections in pH8 EDTA for 20 min and allow to cool before testing.
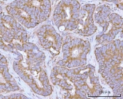
IHC staining of FFPE human rectum adenocarcinoma tissue with HRPAP20 antibody. HIER: boil tissue sections in pH8 EDTA for 20 min and allow to cool before testing.
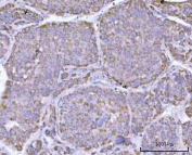
IHC staining of FFPE human liver cancer tissue with HRPAP20 antibody. HIER: boil tissue sections in pH8 EDTA for 20 min and allow to cool before testing.
Western blot testing of human 1) 293T, 2) MDA-MB-453, 3) K562 and 4) Ramos cell lysate with HRPAP20 antibody. Predicted molecular weight ~20 kDa.
Flow cytometry testing of fixed and permeabilized human U937 cells with HRPAP20 antibody at 1ug/million cells (blocked with goat sera); Red=cells alone, Green=isotype control, Blue= HRPAP20 antibody.
Availability 1-3 business days
Species Reactivity Human
Format Antigen affinity purified
Host Rabbit
Clonality Polyclonal (rabbit origin)
Isotype Rabbit IgG
Purity Antigen affinity purified
Buffer Lyophilized from 1X PBS with 2% Trehalose
UniProt Q9P032
Localization Cytoplasm
Applications Western Blot : 0.5-1ug/ml
Immunohistochemistry (FFPE) : 2-5ug/ml
Immunofluorescence : 5ug/ml
Flow Cytometry : 1-3ug/million cells
Direct ELISA : 0.1-0.5ug/ml
Limitations This HRPAP20 antibody is available for research use only.
Review this product on BioCompare and get a $20 Amazon gift card

Description

NADH:ubiquinone oxidoreductase complex assembly factor 4 (NDUFAF4), also known as Hormone-regulated proliferation-associated protein of 20 kDa (HRPAP20) and C6orf66, is a protein that in humans is encoded by the NDUFAF4 gene. NADH:ubiquinone oxidoreductase (complex I) catalyzes the transfer of electrons from NADH to ubiquinone (coenzyme Q) in the first step of the mitochondrial respiratory chain, resulting in the translocation of protons across the inner mitochondrial membrane. This gene encodes a complex I assembly factor. Mutations in this gene are a cause of mitochondrial complex I deficiency.

Application Notes

Optimal dilution of the HRPAP20 antibody should be determined by the researcher.

Immunogen

E. coli-derived recombinant human protein (amino acids K24-K175) was used as the immunogen for the HRPAP20 antibody.

Storage

After reconstitution, the HRPAP20 antibody can be stored for up to one month at 4oC. For long-term, aliquot and store at -20oC. Avoid repeated freezing and thawing.

Cross
Bulk Quote Request Form
Name*:
Organization*:
Email*:
Phone Number*:
Catalog No.*:
Comments and Specifics(amount, formulation, etc.)*:
Validation code: Captchapackage Image


Can't read the image? click here to refresh.
    *required field

Your bulk quote request has been submitted successfully!

Please contact us if you have any questions.