• Tel: 858.663.9055
  • SeparatorEmail: info@nsjbio.com
  • Tel: 858.663.9055
  • Email: info@nsjbio.com
Home >> Antibodies >> HRMT1L2 Antibody / PRMT1

HRMT1L2 Antibody / PRMT1 (RQ8050)

  Catalog No Formulation Size Price (USD)  
Image RQ8050 0.5mg/ml if reconstituted with 0.2ml sterile DI water 100 ug 449
Bulk quote request
Immunofluorescent staining of FFPE human A549 cells with HRMT1L2 antibody (red) and DAPI nuclear stain (blue). HIER: steam section in pH6 citrate buffer for 20 min.
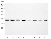
Western blot testing of 1) human HepG2, 2) human A549, 3) human HeLa, 4) human 293T, 5) rat brain, 6) rat RH35, 7) mouse brain and 8) mouse Neuro-2a cell lysate with HRMT1L2 antibody. Predicted molecular weight: 40-42 kDa (multiple isoforms).
Flow cytometry testing of fixed and permeabilized human U937 cells with HRMT1L2 antibody at 1ug/million cells (blocked with goat sera); Red=cells alone, Green=isotype control, Blue= HRMT1L2 antibody.
Availability 1-3 business days
Species Reactivity Human, Mouse, Rat
Format Antigen affinity purified
Host Rabbit
Clonality Polyclonal (rabbit origin)
Isotype Rabbit IgG
Purity Antigen affinity purified
Buffer Lyophilized from 1X PBS with 2% Trehalose
UniProt Q99873
Localization Nuclear, cytoplasmic
Applications Western Blot : 0.5-1ug/ml
Immunofluorescence : 5ug/ml
Flow Cytometry : 1-3ug/million cells
Direct ELISA : 0.1-0.5ug/ml
Limitations This HRMT1L2 antibody is available for research use only.
Review this product on BioCompare and get a $20 Amazon gift card

Related Products

  • Applications : WB, IHC, ELISA
    Reactivity : Human
    Pred. Reactivity : Mouse, Rat
  • Applications : WB, IHC, ELISA
    Reactivity : Human, Mouse
    Pred. Reactivity : Rat
  • Applications : WB, IHC-P, Direct ELISA
    Reactivity : Human

Description

Protein arginine N-methyltransferase 1, also called Heterogeneous nuclear ribonucleoprotein methyltransferase 1 like 2 (HRMT1L2) is an enzyme that in humans is encoded by the PRMT1 gene. It is mapped to 19q13.33. This gene encodes a member of the protein arginine N-methyltransferase (PRMT) family. Post-translational modification of target proteins by PRMTs plays an important regulatory role in many biological processes, whereby PRMTs methylate arginine residues by transferring methyl groups from S-adenosyl-L-methionine to terminal guanidino nitrogen atoms. The encoded protein is a type I PRMT and is responsible for the majority of cellular arginine methylation activity. Increased expression of this gene may play a role in many types of cancer. Alternatively spliced transcript variants encoding multiple isoforms have been observed for this gene, and a pseudogene of this gene is located on the long arm of chromosome 5.

Application Notes

Optimal dilution of the HRMT1L2 antibody should be determined by the researcher.

Immunogen

E. coli-derived recombinant human protein (amino acids M1-H311) was used as the immunogen for the HRMT1L2 antibody.

Storage

After reconstitution, the HRMT1L2 antibody can be stored for up to one month at 4oC. For long-term, aliquot and store at -20oC. Avoid repeated freezing and thawing.

Cross
Bulk Quote Request Form
Name*:
Organization*:
Email*:
Phone Number*:
Catalog No.*:
Comments and Specifics(amount, formulation, etc.)*:
Validation code: Captchapackage Image


Can't read the image? click here to refresh.
    *required field

Your bulk quote request has been submitted successfully!

Please contact us if you have any questions.