- Tel: 858.663.9055
- 
									 Email: info@nsjbio.com Email: info@nsjbio.com
- Tel: 858.663.9055
- Email: info@nsjbio.com
 Email: info@nsjbio.com
Email: info@nsjbio.com
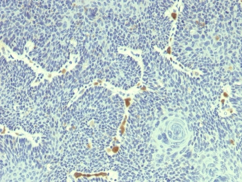
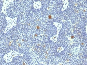
								Human papilloma viruses (HPVs) can be classified as either high risk or low risk according to their association with cancer. HPV16 and HPV18 are the most common of the high risk group while HPV6 and HPV11 are among the low risk types. Approximately 90% of cervical cancers contain HPV DNA of the high risk types. Mutational analysis has shown that the E6 and E7 genes of the high risk HPVs are necessary and sufficient for HPV transforming function. The specific interactions of the E6 and E7 proteins with p53 and pRB, respectively, correlate with HPV high and low risk classifications. The high risk HPV E7 proteins bind to pRB with a higher affinity than do the low risk HPV proteins, and only the high risk HPV E6 proteins form detectable complexes with p53 in vitro.
Optimal dilution of the HPV18 E6 antibody should be determined by the researcher.
HPV18 E6-β-galactosidase fusion protein was used as the immunogen for this HPV18 E6 antibody.
Store the HPV18 E6 antibody at 2-8oC (with azide) or aliquot and store at -20oC or colder (without azide).
 
Your bulk quote request has been submitted successfully!
Please contact us if you have any questions.