• Tel: 858.663.9055
  • SeparatorEmail: info@nsjbio.com
  • Tel: 858.663.9055
  • Email: info@nsjbio.com
Home >> Antibodies >> HPK1 Antibody / Hematopoietic Progenitor Kinase 1 / MAP4K1

HPK1 Antibody / Hematopoietic Progenitor Kinase 1 / MAP4K1 (RQ6654)

  Catalog No Formulation Size Price (USD)  
Image RQ6654 0.5mg/ml if reconstituted with 0.2ml sterile DI water 100 ug 449
Bulk quote request
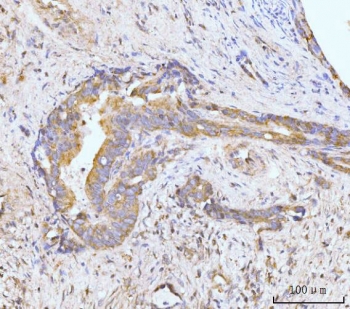
IHC staining of FFPE human gall bladder adenosquamous carcinoma tissue with HPK1 antibody. HIER: boil tissue sections in pH8 EDTA for 20 min and allow to cool before testing.
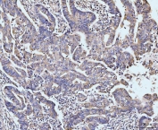
IHC staining of FFPE human colonic adenocarcinoma tissue with HPK1 antibody. HIER: boil tissue sections in pH8 EDTA for 20 min and allow to cool before testing.
Western blot testing of human 1) Raji and 2) Jurkat cell lysate with HPK1 antibody. Predicted molecular weight ~96 kDa.
Flow cytometry testing of human SiHa cells with HPK1 antibody at 1ug/million cells (blocked with goat sera); Red=cells alone, Green=isotype control, Blue= HPK1 antibody.
Availability 1-3 business days
Species Reactivity Human
Format Antigen affinity purified
Host Rabbit
Clonality Polyclonal (rabbit origin)
Isotype Rabbit IgG
Purity Antigen affinity purified
Buffer Lyophilized from 1X PBS with 2% Trehalose
UniProt Q92918
Applications Western Blot : 1-2ug/ml
Immunohistochemistry (FFPE) : 2-5ug/ml
Flow Cytometry : 1-3ug/million cells
Direct ELISA : 0.1-0.5ug/ml
Limitations This HPK1 antibody is available for research use only.
Review this product on BioCompare and get a $20 Amazon gift card

Related Products

  • Applications : WB, IHC-P, ELISA (peptide)
    Reactivity : Human
    Pred. Reactivity : Cow, Dog, Mouse, Pig, Rat
  • Applications : WB
    Reactivity : Human

Description

Mitogen-activated protein kinase kinase kinase kinase 1 is a protein kinase that in humans is encoded by the MAP4K1 gene. It is also known as HPK1 (Hematopoietic Progenitor Kinase 1). The protein has been shown to play a role in JNK activation.

Application Notes

Optimal dilution of the HPK1 antibody should be determined by the researcher.

Immunogen

Recombinant human protein (amino acids E30-H769) was used as the immunogen for the HPK1 antibody.

Storage

After reconstitution, the HPK1 antibody can be stored for up to one month at 4oC. For long-term, aliquot and store at -20oC. Avoid repeated freezing and thawing.

Cross
Bulk Quote Request Form
Name*:
Organization*:
Email*:
Phone Number*:
Catalog No.*:
Comments and Specifics(amount, formulation, etc.)*:
Validation code: Captchapackage Image


Can't read the image? click here to refresh.
    *required field

Your bulk quote request has been submitted successfully!

Please contact us if you have any questions.