• Tel: 858.663.9055
  • SeparatorEmail: info@nsjbio.com
  • Tel: 858.663.9055
  • Email: info@nsjbio.com
Home >> Antibodies >> HOXC8 Antibody

HOXC8 Antibody (RQ6182)

  Catalog No Formulation Size Price (USD)  
Image RQ6182 0.5mg/ml if reconstituted with 0.2ml sterile DI water 100 ug 449
Bulk quote request
Flow cytometry testing of human U-251 cells with HOXC8 antibody at 1ug/million cells (blocked with goat sera); Red=cells alone, Green=isotype control, Blue= HOXC8 antibody.
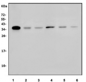
Western blot testing of 1) human COLO-320, 2) human U-2 OS, 3) human A549, 4) rat brain, 5) mouse brain and 6) mouse ovary lysate with HOXC8 antibody. Expected molecular weight: 27-35 kDa.
Availability 1-3 business days
Species Reactivity Human, Mouse, Rat
Format Antigen affinity purified
Host Rabbit
Clonality Polyclonal (rabbit origin)
Isotype Rabbit IgG
Purity Affinity purified
Buffer Lyophilized from 1X PBS with 2% Trehalose and 0.0125% sodium azide
UniProt P31273
Applications Western Blot : 1-2ug/ml
Flow Cytometry : 1-3ug/million cells
Direct ELISA : 0.1-0.5ug/ml
Limitations This HOXC8 antibody is available for research use only.
Review this product on BioCompare and get a $20 Amazon gift card

Related Products

  • Applications : WB, ELISA (peptide)
    Reactivity : Human, Mouse
    Pred. Reactivity : Dog

Description

Homeobox protein Hox-C8 is a protein that in humans is encoded by the HOXC8 gene. This gene belongs to the homeobox family of genes. The homeobox genes encode a highly conserved family of transcription factors that play an important role in morphogenesis in all multicellular organisms. Mammals possess four similar homeobox gene clusters, HOXA, HOXB, HOXC and HOXD, which are located on different chromosomes and consist of 9 to 11 genes arranged in tandem. This gene is one of several homeobox HOXC genes located in a cluster on chromosome 12. The product of this gene may play a role in the regulation of cartilage differentiation. It could also be involved in chondrodysplasias or other cartilage disorders.

Application Notes

Optimal dilution of the HOXC8 antibody should be determined by the researcher.

Immunogen

A human recombinant partial protein (amino acids E17-S133) was used as the immunogen for the HOXC8 antibody.

Storage

After reconstitution, the HOXC8 antibody can be stored for up to one month at 4oC. For long-term, aliquot and store at -20oC. Avoid repeated freezing and thawing.

Cross
Bulk Quote Request Form
Name*:
Organization*:
Email*:
Phone Number*:
Catalog No.*:
Comments and Specifics(amount, formulation, etc.)*:
Validation code: Captchapackage Image


Can't read the image? click here to refresh.
    *required field

Your bulk quote request has been submitted successfully!

Please contact us if you have any questions.