• Tel: 858.663.9055
  • SeparatorEmail: info@nsjbio.com
  • Tel: 858.663.9055
  • Email: info@nsjbio.com
Home >> Antibodies >> HOXC4 Antibody

HOXC4 Antibody (RQ7394)

  Catalog No Formulation Size Price (USD)  
Image RQ7394 0.5mg/ml if reconstituted with 0.2ml sterile DI water 100 ug 449
Bulk quote request
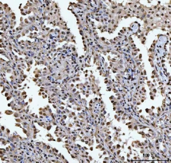
IHC staining of FFPE human lung cancer tissue with HOXC4 antibody. HIER: boil tissue sections in pH8 EDTA for 20 min and allow to cool before testing.
IHC staining of FFPE human tonsil tissue with HOXC4 antibody. HIER: boil tissue sections in pH8 EDTA for 20 min and allow to cool before testing.
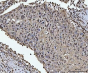
IHC staining of FFPE human esophageal squamous carcinoma tissue with HOXC4 antibody. HIER: boil tissue sections in pH8 EDTA for 20 min and allow to cool before testing.
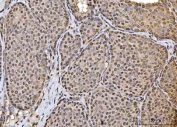
IHC staining of FFPE human breast cancer tissue with HOXC4 antibody. HIER: boil tissue sections in pH8 EDTA for 20 min and allow to cool before testing.
IHC staining of FFPE mouse kidney tissue with HOXC4 antibody. HIER: boil tissue sections in pH8 EDTA for 20 min and allow to cool before testing.
IHC staining of FFPE rat kidney tissue with HOXC4 antibody. HIER: boil tissue sections in pH8 EDTA for 20 min and allow to cool before testing.
Western blot testing of human 1) Jurkat, 2) HeLa, 3) SH-SY5Y and 4) 293T cell lysate with HOXC4 antibody. Predicted molecular weight ~30 kDa, commonly observed at 30-39 kDa.
Flow cytometry testing of human A431 cells with HOXC4 antibody at 1ug/million cells (blocked with goat sera); Red=cells alone, Green=isotype control, Blue= HOXC4 antibody.
Flow cytometry testing of rat RH35 cells with HOXC4 antibody at 1ug/million cells (blocked with goat sera); Red=cells alone, Green=isotype control, Blue= HOXC4 antibody.
Availability 1-3 business days
Species Reactivity Human, Mouse, Rat
Format Antigen affinity purified
Host Rabbit
Clonality Polyclonal (rabbit origin)
Isotype Rabbit IgG
Purity Antigen affinity purified
Buffer Lyophilized from 1X PBS with 2% Trehalose
UniProt P09017
Localization Nuclear
Applications Western Blot : 0.5-1ug/ml
Immunohistochemistry (FFPE) : 2-5ug/ml
Flow Cytometry : 1-3ug/million cells
Limitations This HOXC4 antibody is available for research use only.
Review this product on BioCompare and get a $20 Amazon gift card

Description

Homeobox protein Hox-C4 is a protein that in humans is encoded by the HOXC4 gene. This gene belongs to the homeobox family of genes. The homeobox genes encode a highly conserved family of transcription factors that play an important role in morphogenesis in all multicellular organisms. Mammals possess four similar homeobox gene clusters, HOXA, HOXB, HOXC and HOXD, which are located on different chromosomes and consist of 9 to 11 genes arranged in tandem. This gene, HOXC4, is one of several homeobox HOXC genes located in a cluster on chromosome 12. Three genes, HOXC5, HOXC4 and HOXC6, share a 5' non-coding exon. Transcripts may include the shared exon spliced to the gene-specific exons, or they may include only the gene-specific exons. Two alternatively spliced variants that encode the same protein have been described for HOXC4. Transcript variant one includes the shared exon, and transcript variant two includes only gene-specific exons.

Application Notes

Optimal dilution of the HOXC4 antibody should be determined by the researcher.

Immunogen

Amino acids RPSYPERQYSCTSLQGPGNSRGH were used as the immunogen for the HOXC4 antibody.

Storage

After reconstitution, the HOXC4 antibody can be stored for up to one month at 4oC. For long-term, aliquot and store at -20oC. Avoid repeated freezing and thawing.

Cross
Bulk Quote Request Form
Name*:
Organization*:
Email*:
Phone Number*:
Catalog No.*:
Comments and Specifics(amount, formulation, etc.)*:
Validation code: Captchapackage Image


Can't read the image? click here to refresh.
    *required field

Your bulk quote request has been submitted successfully!

Please contact us if you have any questions.