• Tel: 858.663.9055
  • SeparatorEmail: info@nsjbio.com
  • Tel: 858.663.9055
  • Email: info@nsjbio.com
Home >> Antibodies >> HOXC12 Antibody

HOXC12 Antibody (RQ7405)

  Catalog No Formulation Size Price (USD)  
Image RQ7405 0.5mg/ml if reconstituted with 0.2ml sterile DI water 100 ug 449
Bulk quote request
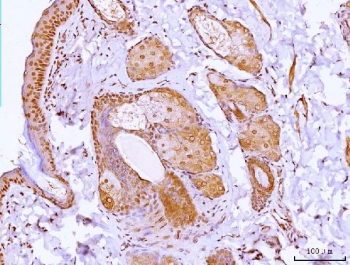
IHC staining of FFPE mouse skin tissue with HOXC12 antibody. HIER: boil tissue sections in pH8 EDTA for 20 min and allow to cool before testing.
Western blot testing of human 1) Jurkat and 2) HaCaT cell lysate with HOXC12 antibody. Predicted molecular weight ~30 kDa.
Availability 1-3 business days
Species Reactivity Human, Mouse
Format Antigen affinity purified
Host Rabbit
Clonality Polyclonal (rabbit origin)
Isotype Rabbit IgG
Purity Antigen affinity purified
Buffer Lyophilized from 1X PBS with 2% Trehalose
UniProt P31275
Applications Western Blot : 0.5-1ug/ml
Immunohistochemistry (FFPE) : 2-5ug/ml
Direct ELISA : 0.1-0.5ug/ml
Limitations This HOXC12 antibody is available for research use only.
Review this product on BioCompare and get a $20 Amazon gift card

Description

Homeobox C12 is a protein that in humans is encoded by the HOXC12 gene. This gene belongs to the homeobox family of genes. The homeobox genes encode a highly conserved family of transcription factors that play an important role in morphogenesis in all multicellular organisms. Mammals possess four similar homeobox gene clusters, HOXA, HOXB, HOXC and HOXD, which are located on different chromosomes and consist of 9 to 11 genes arranged in tandem. This gene is one of several homeobox HOXC genes located in a cluster on chromosome 12.

Application Notes

Optimal dilution of the HOXC12 antibody should be determined by the researcher.

Immunogen

Recombinant human protein (amino acids M1-N195) was used as the immunogen for the HOXC12 antibody.

Storage

After reconstitution, the HOXC12 antibody can be stored for up to one month at 4oC. For long-term, aliquot and store at -20oC. Avoid repeated freezing and thawing.

Cross
Bulk Quote Request Form
Name*:
Organization*:
Email*:
Phone Number*:
Catalog No.*:
Comments and Specifics(amount, formulation, etc.)*:
Validation code: Captchapackage Image


Can't read the image? click here to refresh.
    *required field

Your bulk quote request has been submitted successfully!

Please contact us if you have any questions.