• Tel: 858.663.9055
  • SeparatorEmail: info@nsjbio.com
  • Tel: 858.663.9055
  • Email: info@nsjbio.com
Home >> Antibodies >> HOXA4 Antibody

HOXA4 Antibody (R30682)

  Catalog No Formulation Size Price (USD)  
Image R30682 0.5mg/ml if reconstituted with 0.2ml sterile DI water 100 ug 449
Bulk quote request
Western blot testing of HOXA4 antibody and Lane 1: SW620; 2: SW620; 3: PC-12 cell nuclear lysate. Predicted molecular weight: ~35kDa.
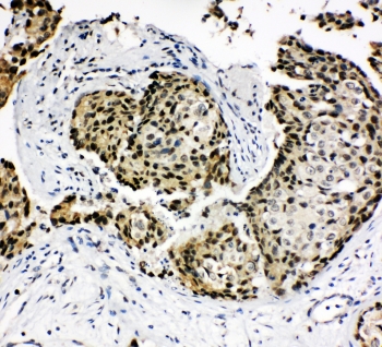
IHC-P: HOXA4 antibody testing of human breast cancer tissue. HIER: steamed with pH6 citrate buffer.
ICC testing of HeLa cells with HOXA4 antibody.
Availability 1-3 business days
Species Reactivity Human, Mouse, Rat
Format Antigen affinity purified
Host Rabbit
Clonality Polyclonal (rabbit origin)
Isotype Rabbit IgG
Purity Antigen affinity
Buffer Lyophilized from 1X PBS with 2.5% BSA and 0.025% sodium azide/thimerosal
UniProt Q00056
Applications Western Blot : 0.5-1ug/ml
IHC (FFPE) : 0.5-1ug/ml
Immunocytochemistry : 0.5-1ug/ml
Limitations This HOXA4 antibody is available for research use only.
Review this product on BioCompare and get a $20 Amazon gift card

Related Products

  • Applications : WB, ELISA (peptide)
    Reactivity : Human
    Pred. Reactivity : Dog
  • Applications : WB
    Reactivity : Human

Description

HOXA4 (HOMEOBOX A4), also known as HOX1D or HOMOLOG OF, is a protein that in humans is encoded by the HOXA4 gene, which is also part of the A cluster on chromosome 7. HOXA4 encodes a DNA-binding transcription factor which may regulate gene expression, morphogenesis, and differentiation. Its cytogenetic location is 7q15.2. In vertebrates, the genes encoding the class of transcription factors called homeobox genes are found in clusters named A, B, C, and D on four separate chromosomes. Expression of these proteins is spatially and temporally regulated during embryonic development.

Application Notes

The stated application concentrations are suggested starting amounts. Titration of the HOXA4 antibody may be required due to differences in protocols and secondary/substrate sensitivity.

Immunogen

An amino acid sequence from the N-terminus of human HOXA4 (NSNYIEPKFPPFEEYAQH) was used as the immunogen for this HOXA4 antibody.

Storage

After reconstitution, the HOXA4 antibody can be stored for up to one month at 4oC. For long-term, aliquot and store at -20oC. Avoid repeated freezing and thawing.

Cross
Bulk Quote Request Form
Name*:
Organization*:
Email*:
Phone Number*:
Catalog No.*:
Comments and Specifics(amount, formulation, etc.)*:
Validation code: Captchapackage Image


Can't read the image? click here to refresh.
    *required field

Your bulk quote request has been submitted successfully!

Please contact us if you have any questions.