• Tel: 858.663.9055
  • SeparatorEmail: info@nsjbio.com
  • Tel: 858.663.9055
  • Email: info@nsjbio.com
Home >> Antibodies >> HOXA3 Antibody

HOXA3 Antibody (R30681)

  Catalog No Formulation Size Price (USD)  
Image R30681 0.5mg/ml if reconstituted with 0.2ml sterile DI water 100 ug 449
Bulk quote request
Western blot testing of human SW620 cell lysate with HOXA3 antibody. Predicted molecular weight ~46 kDa.
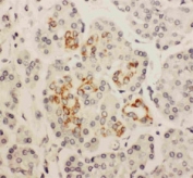
IHC testing of FFPE human pancreatic cancer tissue with HOXA3 antibody. HIER: steam section in pH6 citrate buffer for 20 min and allow to cool prior to staining.
Availability 1-3 business days
Species Reactivity Human, Mouse, Rat
Format Antigen affinity purified
Host Rabbit
Clonality Polyclonal (rabbit origin)
Isotype Rabbit IgG
Purity Antigen affinity
Buffer Lyophilized from 1X PBS with 2.5% BSA and 0.025% sodium azide/thimerosal
UniProt O43365
Applications Western Blot : 0.5-1ug/ml
IHC (FFPE) : 0.5-1ug/ml
Limitations This HOXA3 antibody is available for research use only.
Review this product on BioCompare and get a $20 Amazon gift card

Related Products

  • Applications : FACS, IHC-P, WB
    Reactivity : Human

Description

Homeobox A3 is a protein that in humans is encoded by the HOXA3 gene, which is also part of the A cluster on chromosome 7. The gene encodes a DNA-binding transcription factor which may regulate gene expression, morphogenesis, and differentiation. Its cytogenetic location is 7q15.2. In vertebrates, the genes encoding the class of transcription factors called homeobox genes are found in clusters named A, B, C, and D on four separate chromosomes. Expression of these proteins is spatially and temporally regulated during embryonic development. HOXA3 protein is able to complement Hoxd3 deficiency when expressed in the context of the Hoxd3 allele.

Application Notes

The stated application concentrations are suggested starting amounts. Titration of the HOXA3 antibody may be required due to differences in protocols and secondary/substrate sensitivity.

Immunogen

An amino acid sequence from the C-terminus of human HOXA3 (HHPSQGRIQEAPKLTHL) was used as the immunogen for this HOXA3 antibody (100% homologous in human, mouse and rat).

Storage

After reconstitution, the HOXA3 antibody can be stored for up to one month at 4oC. For long-term, aliquot and store at -20oC. Avoid repeated freezing and thawing.

Cross
Bulk Quote Request Form
Name*:
Organization*:
Email*:
Phone Number*:
Catalog No.*:
Comments and Specifics(amount, formulation, etc.)*:
Validation code: Captchapackage Image


Can't read the image? click here to refresh.
    *required field

Your bulk quote request has been submitted successfully!

Please contact us if you have any questions.