• Tel: 858.663.9055
  • SeparatorEmail: info@nsjbio.com
  • Tel: 858.663.9055
  • Email: info@nsjbio.com
Home >> Antibodies >> Homeobox protein cut-like 1 Antibody / CUX1

Homeobox protein cut-like 1 Antibody / CUX1 (RQ7069)

  Catalog No Formulation Size Price (USD)  
Image RQ7069 0.5mg/ml if reconstituted with 0.2ml sterile DI water 100 ug 449
Bulk quote request
IHC staining of FFPE human laryngeal squamous cell carcinoma tissue with Homeobox protein cut-like 1 antibody. HIER: boil tissue sections in pH8 EDTA for 20 min and allow to cool before testing.
IHC staining of FFPE human thyroiditis tissue with Homeobox protein cut-like 1 antibody. HIER: boil tissue sections in pH8 EDTA for 20 min and allow to cool before testing.
IHC staining of FFPE human placental tissue with Homeobox protein cut-like 1 antibody. HIER: boil tissue sections in pH8 EDTA for 20 min and allow to cool before testing.
IHC staining of FFPE mouse colon tissue with Homeobox protein cut-like 1 antibody. HIER: boil tissue sections in pH8 EDTA for 20 min and allow to cool before testing.
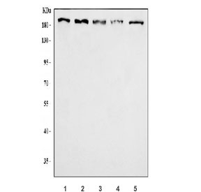
Western blot testing of 1) human K562, 2) human HeLa, 3) human MCF7, 4) human SH-SY5Y and 5) mouse stomach tissue lysate with Homeobox protein cut-like 1 antibody. Expected molecular weight ~200 kDa with smaller isoforms.
Flow cytometry testing of human HepG2 cells with Homeobox protein cut-like 1 antibody at 1ug/million cells (blocked with goat sera); Red=cells alone, Green=isotype control, Blue= Homeobox protein cut-like 1 antibody.
Availability 1-3 business days
Species Reactivity Human, Mouse
Format Antigen affinity purified
Host Rabbit
Clonality Polyclonal (rabbit origin)
Isotype Rabbit IgG
Purity Antigen affinity purified
Buffer Lyophilized from 1X PBS with 2% Trehalose
UniProt P39880
Localization Nuclear, cytoplasmic (Golgi)
Applications Western Blot : 0.5-1ug/ml
Immunohistochemistry (FFPE) : 2-5ug/ml
Flow Cytometry : 1-3ug/million cells
Direct ELISA : 0.1-0.5ug/ml
Limitations This Homeobox protein cut-like 1 antibody is available for research use only.
Review this product on BioCompare and get a $20 Amazon gift card

Related Products

Description

The protein encoded by this gene is a member of the homeodomain family of DNA binding proteins. It may regulate gene expression, morphogenesis, and differentiation and it may also play a role in the cell cycle progession. Several alternatively spliced transcript variants encoding different isoforms have been identified.

Application Notes

Optimal dilution of the Homeobox protein cut-like 1 antibody should be determined by the researcher.

Immunogen

Recombinant human protein (amino acids M1-E220) was used as the immunogen for the CUX1 antibody.

Storage

After reconstitution, the Homeobox protein cut-like 1 antibody can be stored for up to one month at 4oC. For long-term, aliquot and store at -20oC. Avoid repeated freezing and thawing.

Cross
Bulk Quote Request Form
Name*:
Organization*:
Email*:
Phone Number*:
Catalog No.*:
Comments and Specifics(amount, formulation, etc.)*:
Validation code: Captchapackage Image


Can't read the image? click here to refresh.
    *required field

Your bulk quote request has been submitted successfully!

Please contact us if you have any questions.