• Tel: 858.663.9055
  • SeparatorEmail: info@nsjbio.com
  • Tel: 858.663.9055
  • Email: info@nsjbio.com
Home >> Antibodies >> Holocytochrome c-type synthase Antibody / HCCS

Holocytochrome c-type synthase Antibody / HCCS (RQ6486)

  Catalog No Formulation Size Price (USD)  
Image RQ6486 0.5mg/ml if reconstituted with 0.2ml sterile DI water 100 ug 449
Bulk quote request
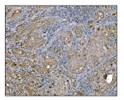
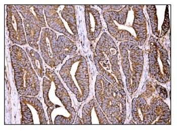
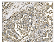
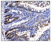
IHC staining of FFPE human rectal cancer tissue with Holocytochrome c-type synthase antibody. HIER: boil tissue sections in pH8 EDTA for 20 min and allow to cool before testing.
IHC staining of FFPE human pancreatic cancer tissue with Holocytochrome c-type synthase antibody. HIER: boil tissue sections in pH8 EDTA for 20 min and allow to cool before testing.
IHC staining of FFPE human gallbladder adenocarcinoma tissue with Holocytochrome c-type synthase antibody. HIER: boil tissue sections in pH8 EDTA for 20 min and allow to cool before testing.
IHC staining of FFPE human breast cancer tissue with Holocytochrome c-type synthase antibody. HIER: boil tissue sections in pH8 EDTA for 20 min and allow to cool before testing.
IHC staining of FFPE human lung cancer tissue with Holocytochrome c-type synthase antibody. HIER: boil tissue sections in pH8 EDTA for 20 min and allow to cool before testing.
IHC staining of FFPE rat intestinal tissue with Holocytochrome c-type synthase antibody. HIER: boil tissue sections in pH8 EDTA for 20 min and allow to cool before testing.
Immunofluorescent staining of FFPE human HeLa cells with Holocytochrome c-type synthase antibody (green) and DAPI nuclear stain (blue). HIER: steam section in pH6 citrate buffer for 20 min.
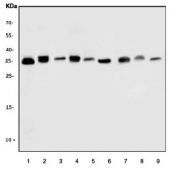
Western blot testing of 1) human HeLa, 2) human K562, 3) human A549, 4) human HEK293, 5) rat lung, 6) rat stomach, 7) rat PC-12, 8) mouse lung and 9) mouse stomach lysate with Holocytochrome c-type synthase antibody. Predicted molecular weight ~31 kDa.
Flow cytometry testing of human Caco-2 cells with Holocytochrome c-type synthase antibody at 1ug/million cells (blocked with goat sera); Red=cells alone, Green=isotype control, Blue= Holocytochrome c-type synthase antibody.
Availability 1-3 business days
Species Reactivity Human, Mouse, Rat
Format Antigen affinity purified
Host Rabbit
Clonality Polyclonal (rabbit origin)
Isotype Rabbit IgG
Purity Affinity purified
Buffer Lyophilized from 1X PBS with 2% Trehalose
UniProt P53701
Localization Cytoplasmic
Applications Western Blot : 1-2ug/ml
Immunohistochemistry (FFPE) : 2-5ug/ml
Immunofluorescence : 5ug/ml
Flow Cytometry : 1-3ug/million cells
Direct ELISA : 0.1-0.5ug/ml
Limitations This Holocytochrome c-type synthase antibody is available for research use only.
Review this product on BioCompare and get a $20 Amazon gift card

Description

Cytochrome c-type heme lyase is an enzyme that in humans is encoded by the HCCS gene on chromosome X. The protein encoded by this gene is an enzyme that covalently links a heme group to the apoprotein of cytochrome c. Defects in this gene are a cause of microphthalmia syndromic type 7 (MCOPS7). Three transcript variants encoding the same protein have been found for this gene.

Application Notes

Optimal dilution of the Holocytochrome c-type synthase antibody should be determined by the researcher.

Immunogen

An E. coli-derived human protein (amino acids K76-S268) was used as the immunogen for the Holocytochrome c-type synthase antibody.

Storage

After reconstitution, the Holocytochrome c-type synthase antibody can be stored for up to one month at 4oC. For long-term, aliquot and store at -20oC. Avoid repeated freezing and thawing.

Cross
Bulk Quote Request Form
Name*:
Organization*:
Email*:
Phone Number*:
Catalog No.*:
Comments and Specifics(amount, formulation, etc.)*:
Validation code: Captchapackage Image


Can't read the image? click here to refresh.
    *required field

Your bulk quote request has been submitted successfully!

Please contact us if you have any questions.