• Tel: 858.663.9055
  • SeparatorEmail: info@nsjbio.com
  • Tel: 858.663.9055
  • Email: info@nsjbio.com
Home >> Antibodies >> hnRNP U Antibody / HNRNPU

hnRNP U Antibody / HNRNPU (RQ7337)

  Catalog No Formulation Size Price (USD)  
Image RQ7337 0.5mg/ml if reconstituted with 0.2ml sterile DI water 100 ug 449
Bulk quote request
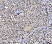
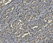
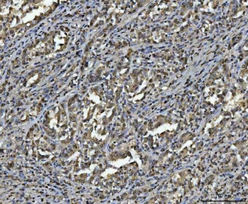
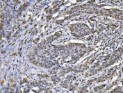
IHC staining of FFPE human gastric carcinoma tissue with hnRNP U antibody. HIER: boil tissue sections in pH8 EDTA for 20 min and allow to cool before testing.
IHC staining of FFPE human esophageal squamous carcinoma tissue with hnRNP U antibody. HIER: boil tissue sections in pH8 EDTA for 20 min and allow to cool before testing.
IHC staining of FFPE human colorectal adenocarcinoma tissue with hnRNP U antibody. HIER: boil tissue sections in pH8 EDTA for 20 min and allow to cool before testing.
IHC staining of FFPE human spleen tissue with hnRNP U antibody. HIER: boil tissue sections in pH8 EDTA for 20 min and allow to cool before testing.
IHC staining of FFPE human thyroid cancer tissue with hnRNP U antibody. HIER: boil tissue sections in pH8 EDTA for 20 min and allow to cool before testing.
IHC staining of FFPE human breast cancer tissue with hnRNP U antibody. HIER: boil tissue sections in pH8 EDTA for 20 min and allow to cool before testing.
IHC staining of FFPE mouse brain tissue with hnRNP U antibody. HIER: boil tissue sections in pH8 EDTA for 20 min and allow to cool before testing.
IHC staining of FFPE rat brain tissue with hnRNP U antibody. HIER: boil tissue sections in pH8 EDTA for 20 min and allow to cool before testing.
Immunofluorescent staining of FFPE human breast cancer tissue with hnRNP U antibody (red) and DAPI nuclear stain (blue). HIER: steam section in pH8 EDTA buffer for 20 min.
Immunofluorescent staining of FFPE mouse brain tissue with hnRNP U antibody (red) and DAPI nuclear stain (blue). HIER: steam section in pH8 EDTA buffer for 20 min.
Immunofluorescent staining of FFPE rat brain tissue with hnRNP U antibody (red) and DAPI nuclear stain (blue). HIER: steam section in pH8 EDTA buffer for 20 min.
Immunofluorescent staining of FFPE human SiHa cells with hnRNP U antibody (green) and DAPI nuclear stain (blue). HIER: steam section in pH6 citrate buffer for 20 min.
Western blot testing of 1) human MOLT4, 2) human Daudi, 3) human HEL, 4) human U-251, 5) rat brain, 6) rat C6, 7) mouse brain and 8) mouse NIH 3T3 cell lysate with hnRNP U antibody. Predicted molecular weight ~90 kDa but commonly observed at up to ~125 kDa.
Flow cytometry testing of human HEL cells with hnRNP U antibody at 1ug/million cells (blocked with goat sera); Red=cells alone, Green=isotype control, Blue= hnRNP U antibody.
Flow cytometry testing of rat C6 cells with hnRNP U antibody at 1ug/million cells (blocked with goat sera); Red=cells alone, Green=isotype control, Blue= hnRNP U antibody.
Availability 1-3 business days
Species Reactivity Human, Mouse, Rat
Format Antigen affinity purified
Host Rabbit
Clonality Polyclonal (rabbit origin)
Isotype Rabbit IgG
Purity Antigen affinity purified
Buffer Lyophilized from 1X PBS with 2% Trehalose
UniProt Q00839
Localization Cytoplasmic, nuclear
Applications Western Blot : 0.5-1ug/ml
Immunohistochemistry (FFPE) : 2-5ug/ml
Immunofluorescence : 5ug/ml
Flow Cytometry : 1-3ug/million cells
Direct ELISA : 0.1-0.5ug/ml
Limitations This hnRNP U antibody is available for research use only.
Review this product on BioCompare and get a $20 Amazon gift card

Description

Heterogeneous nuclear ribonucleoprotein U is a protein that in humans is encoded by the HNRNPU gene. This gene encodes a member of a family of proteins that bind nucleic acids and function in the formation of ribonucleoprotein complexes in the nucleus with heterogeneous nuclear RNA (hnRNA). The encoded protein has affinity for both RNA and DNA, and binds scaffold-attached region (SAR) DNA. Mutations in this gene have been associated with epileptic encephalopathy, early infantile, 54. A pseudogene of this gene has been identified on chromosome 14.

Application Notes

Optimal dilution of the hnRNP U antibody should be determined by the researcher.

Immunogen

Recombinant human protein (amino acids E262-L563) was used as the immunogen for the hnRNP U antibody.

Storage

After reconstitution, the hnRNP U antibody can be stored for up to one month at 4oC. For long-term, aliquot and store at -20oC. Avoid repeated freezing and thawing.

Cross
Bulk Quote Request Form
Name*:
Organization*:
Email*:
Phone Number*:
Catalog No.*:
Comments and Specifics(amount, formulation, etc.)*:
Validation code: Captchapackage Image


Can't read the image? click here to refresh.
    *required field

Your bulk quote request has been submitted successfully!

Please contact us if you have any questions.