• Tel: 858.663.9055
  • SeparatorEmail: info@nsjbio.com
  • Tel: 858.663.9055
  • Email: info@nsjbio.com
Home >> Antibodies >> hnRNP K Antibody / HNRNPK / TUNP

hnRNP K Antibody / HNRNPK / TUNP (RQ7313)

  Catalog No Formulation Size Price (USD)  
Image RQ7313 0.5mg/ml if reconstituted with 0.2ml sterile DI water 100 ug 449
Bulk quote request
Immunofluorescent staining of FFPE human U-2 OS cells with hnRNP K antibody (green) and DAPI nuclear stain (blue). HIER: steam section in pH6 citrate buffer for 20 min.
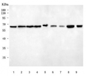
Western blot testing of 1) human HeLa, 2) human MCF7, 3) human MOLT4, 4) human Daudi, 5) human U-251, 6) rat brain, 7) rat PC-12, 8) mouse brain and 9) mouse NIH 3T3 cell lysate with hnRNP K antibody. Predicted molecular weight ~55 kDa.
Flow cytometry testing of human HepG2 cells with hnRNP K antibody at 1ug/million cells (blocked with goat sera); Red=cells alone, Green=isotype control, Blue= hnRNP K antibody.
Flow cytometry testing of mouse ANA-1 cells with hnRNP K antibody at 1ug/million cells (blocked with goat sera); Red=cells alone, Green=isotype control, Blue= hnRNP K antibody.
Flow cytometry testing of rat C6 cells with hnRNP K antibody at 1ug/million cells (blocked with goat sera); Red=cells alone, Green=isotype control, Blue= hnRNP K antibody.
Availability 1-3 business days
Species Reactivity Human, Mouse, Rat
Format Antigen affinity purified
Host Rabbit
Clonality Polyclonal (rabbit origin)
Isotype Rabbit IgG
Purity Antigen affinity purified
Buffer Lyophilized from 1X PBS with 2% Trehalose
UniProt P61978
Localization Nuclear, cytoplasmic
Applications Western Blot : 0.5-1ug/ml
Immunofluorescence : 5ug/ml
Flow Cytometry : 1-3ug/million cells
Direct ELISA : 0.1-0.5ug/ml
Limitations This hnRNP K antibody is available for research use only.
Review this product on BioCompare and get a $20 Amazon gift card

Description

Heterogeneous nuclear ribonucleoprotein K, also called Transformation up-regulated nuclear protein (TUNP), is a protein that in humans is encoded by the HNRNPK gene. This gene belongs to the subfamily of ubiquitously expressed heterogeneous nuclear ribonucleoproteins (hnRNPs). The hnRNPs are RNA binding proteins and they complex with heterogeneous nuclear RNA (hnRNA). These proteins are associated with pre-mRNAs in the nucleus and appear to influence pre-mRNA processing and other aspects of mRNA metabolism and transport. While all of the hnRNPs are present in the nucleus, some seem to shuttle between the nucleus and the cytoplasm. The hnRNP proteins have distinct nucleic acid binding properties. The protein encoded by this gene is located in the nucleoplasm and has three repeats of KH domains that binds to RNAs. It is distinct among other hnRNP proteins in its binding preference; it binds tenaciously to poly(C). This protein is also thought to have a role during cell cycle progression. Several alternatively spliced transcript variants have been described for this gene, however, not all of them are fully characterized.

Application Notes

Optimal dilution of the hnRNP K antibody should be determined by the researcher.

Immunogen

Recombinant human protein (amino acids D40-F463) was used as the immunogen for the hnRNP K antibody.

Storage

After reconstitution, the hnRNP K antibody can be stored for up to one month at 4oC. For long-term, aliquot and store at -20oC. Avoid repeated freezing and thawing.

Cross
Bulk Quote Request Form
Name*:
Organization*:
Email*:
Phone Number*:
Catalog No.*:
Comments and Specifics(amount, formulation, etc.)*:
Validation code: Captchapackage Image


Can't read the image? click here to refresh.
    *required field

Your bulk quote request has been submitted successfully!

Please contact us if you have any questions.