• Tel: 858.663.9055
  • SeparatorEmail: info@nsjbio.com
  • Tel: 858.663.9055
  • Email: info@nsjbio.com
Home >> Antibodies >> hnRNP H Antibody

hnRNP H Antibody (R32630)

  Catalog No Formulation Size Price (USD)  
Image R32630 0.5mg/ml if reconstituted with 0.2ml sterile DI water 100 ug 449
Bulk quote request
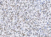
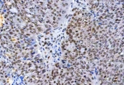
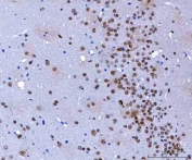
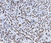
IHC staining of FFPE human colorectal adenocarcinoma tissue with hnRNP H antibody. HIER: boil tissue sections in pH8 EDTA for 20 min and allow to cool before testing.
IHC staining of FFPE human glioblastoma tissue with hnRNP H antibody. HIER: boil tissue sections in pH8 EDTA for 20 min and allow to cool before testing.
IHC staining of FFPE human breast cancer tissue with hnRNP H antibody. HIER: boil tissue sections in pH8 EDTA for 20 min and allow to cool before testing.
IHC staining of FFPE human ovarian serous adenocarcinoma tissue with hnRNP H antibody. HIER: boil tissue sections in pH8 EDTA for 20 min and allow to cool before testing.
IHC staining of FFPE human tonsil tissue with hnRNP H antibody. HIER: boil tissue sections in pH8 EDTA for 20 min and allow to cool before testing.
IHC staining of FFPE mouse brain tissue with hnRNP H antibody. HIER: boil tissue sections in pH8 EDTA for 20 min and allow to cool before testing.
IHC staining of FFPE rat brain tissue with hnRNP H antibody. HIER: boil tissue sections in pH8 EDTA for 20 min and allow to cool before testing.
Immunofluorescent staining of FFPE human breast cancer tissue with hnRNP H antibody (red). HIER: steam section in pH8 EDTA buffer for 20 min.
Immunofluorescent staining of FFPE rat brain tissue with hnRNP H antibody (red). HIER: steam section in pH8 EDTA buffer for 20 min.
Immunofluorescent staining of FFPE human MCF7 cells with hnRNP H antibody (green). HIER: steam section in pH6 citrate buffer for 20 min.
Western blot testing of 1) human 293T, 2) human HeLa, 3) human HepG2, 4) human MCF7, 5) human LNCaP, 6) human U-2 OS, 7) human RT4, 8) rat C6, 9) rat PC-12 and 10) mouse NIH 3T3 cell lysate with hnRNP H antibody. Predicted molecular weight ~49 kDa.
Flow cytometry testing of fixed and permeabilized human 293T cells with hnRNP H antibody at 1ug/million cells (blocked with goat sera); Red=cells alone, Green=isotype control, Blue= hnRNP H antibody.
Flow cytometry testing of fixed and permeabilized mouse Neuro-2a cells with hnRNP H antibody at 1ug/million cells (blocked with goat sera); Red=cells alone, Green=isotype control, Blue= hnRNP H antibody.
Flow cytometry testing of fixed and permeabilized rat C6 cells with hnRNP H antibody at 1ug/million cells (blocked with goat sera); Red=cells alone, Green=isotype control, Blue= hnRNP H antibody.
Availability 1-3 business days
Species Reactivity Human, Mouse, Rat
Format Antigen affinity purified
Host Rabbit
Clonality Polyclonal (rabbit origin)
Isotype Rabbit IgG
Purity Antigen affinity
Buffer Lyophilized from 1X PBS with 2% Trehalose
UniProt P31943
Localization Nuclear
Applications Western Blot : 0.5-1ug/ml
Immunofluorescence (FFPE) : 2-4ug/ml
Flow Cytometry : 1-3ug/million cells
Immunohistochemistry (FFPE) : 2-5ug/ml
Limitations This hnRNP H antibody is available for research use only.
Review this product on BioCompare and get a $20 Amazon gift card

Related Products

Description

Heterogeneous nuclear ribonucleoprotein H is a protein that in humans is encoded by the HNRNPH1 gene. This gene encodes a member of a subfamily of ubiquitously expressed heterogeneous nuclear ribonucleoproteins (hnRNPs). The hnRNPs are RNA binding proteins that complex with heterogeneous nuclear RNA. These proteins are associated with pre-mRNAs in the nucleus and appear to influence pre-mRNA processing and other aspects of mRNA metabolism and transport. While all of the hnRNPs are present in the nucleus, some may shuttle between the nucleus and the cytoplasm. The hnRNP proteins have distinct nucleic acid binding properties. The protein encoded by this gene has three repeats of quasi-RRM domains that bind to RNA and is very similar to the family member HNRPF. This gene may be associated with hereditary lymphedema type I. Alternatively spliced transcript variants have been described.

Application Notes

Optimal dilution of the hnRNP H antibody should be determined by the researcher.

Immunogen

Amino acids 23-52 (SADEVQRFFSDCKIQNGAQGIRFIYTREGR-human) were used as the immunogen for the hnRNP H antibody.

Storage

After reconstitution, the hnRNP H antibody can be stored for up to one month at 4oC. For long-term, aliquot and store at -20oC. Avoid repeated freezing and thawing.

Cross
Bulk Quote Request Form
Name*:
Organization*:
Email*:
Phone Number*:
Catalog No.*:
Comments and Specifics(amount, formulation, etc.)*:
Validation code: Captchapackage Image


Can't read the image? click here to refresh.
    *required field

Your bulk quote request has been submitted successfully!

Please contact us if you have any questions.