• Tel: 858.663.9055
  • SeparatorEmail: info@nsjbio.com
  • Tel: 858.663.9055
  • Email: info@nsjbio.com
Home >> Antibodies >> hnRNP F Antibody

hnRNP F Antibody (R32625)

  Catalog No Formulation Size Price (USD)  
Image R32625 0.5mg/ml if reconstituted with 0.2ml sterile DI water 100 ug 449
Bulk quote request
Western blot testing of 1) rat liver, 2) mouse spleen and 3) human HeLa cell lysate with hnRNP F antibody at 0.5ug/ml. Predicted molecular weight ~46 kDa.
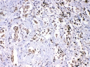
IHC testing of FFPE human breast cancer with hnRNP F antibody at 1ug/ml. HIER: steam section in pH6 citrate buffer for 20 min.
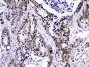
IHC testing of FFPE human intestinal cancer with hnRNP F antibody at 1ug/ml. HIER: steam section in pH6 citrate buffer for 20 min.
Availability 1-3 business days
Species Reactivity Human, Mouse, Rat
Format Antigen affinity purified
Host Rabbit
Clonality Polyclonal (rabbit origin)
Isotype Rabbit IgG
Purity Antigen affinity
Buffer Lyophilized from 1X PBS with 2.5% BSA and 0.025% sodium azide
UniProt P52597
Localization Nuclear
Applications Western Blot : 0.5-1ug/ml
Immunohistochemistry (FFPE) : 1-2ug/ml
Limitations This hnRNP F antibody is available for research use only.
Review this product on BioCompare and get a $20 Amazon gift card

Related Products

Description

Heterogeneous nuclear ribonucleoprotein F is a protein that in humans is encoded by the HNRNPF gene. This gene belongs to the subfamily of ubiquitously expressed heterogeneous nuclear ribonucleoproteins (hnRNPs). The hnRNPs are RNA binding proteins that complex with heterogeneous nuclear RNA (hnRNA). These proteins are associated with pre-mRNAs in the nucleus and regulate alternative splicing, polyadenylation, and other aspects of mRNA metabolism and transport. While all of the hnRNPs are present in the nucleus, some seem to shuttle between the nucleus and the cytoplasm. The hnRNP proteins have distinct nucleic acid binding properties. The protein encoded by this gene has three repeats of quasi-RRM domains that bind to RNAs which have guanosine-rich sequences. This protein is very similar to the family member hnRPH. Multiple alternatively spliced variants, encoding the same protein, have been identified.

Application Notes

Optimal dilution of the hnRNP F antibody should be determined by the researcher.

Immunogen

Amino acids 23-53 (SVEDVQNFLSDCTIHDGAAGVHFIYTREGRQ-human) were used as the immunogen for the hnRNP F antibody.

Storage

After reconstitution, the hnRNP F antibody can be stored for up to one month at 4oC. For long-term, aliquot and store at -20oC. Avoid repeated freezing and thawing.

Cross
Bulk Quote Request Form
Name*:
Organization*:
Email*:
Phone Number*:
Catalog No.*:
Comments and Specifics(amount, formulation, etc.)*:
Validation code: Captchapackage Image


Can't read the image? click here to refresh.
    *required field

Your bulk quote request has been submitted successfully!

Please contact us if you have any questions.