• Tel: 858.663.9055
  • SeparatorEmail: info@nsjbio.com
  • Tel: 858.663.9055
  • Email: info@nsjbio.com
Home >> Antibodies >> hnRNP E2 Antibody / Heterogeneous nuclear ribonucleoprotein E2 / PCBP2

hnRNP E2 Antibody / Heterogeneous nuclear ribonucleoprotein E2 / PCBP2 (RQ7821)

  Catalog No Formulation Size Price (USD)  
Image RQ7821 0.5mg/ml if reconstituted with 0.2ml sterile DI water 100 ug 449
Bulk quote request
Immunofluorescent staining of FFPE human PC-3 cells with GNB1 antibody (red) and Alpha Tubulin mAb (green). HIER: steam section in pH6 citrate buffer for 20 min.
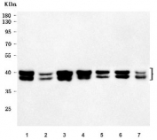
Western blot testing of 1) human HeLa, 2) human Jurkat, 3) human 293T, 4) human Raji, 5) rat PC-12, 6) rat C6 and 7) mouse RAW264.7 cell lysate with hnRNP E2 antibody. Predicted molecular weight ~39 kDa.
Flow cytometry testing of human HeLa cells with hnRNP E2 antibody at 1ug/million cells (blocked with goat sera); Red=cells alone, Green=isotype control, Blue= hnRNP E2 antibody.
Availability 1-3 business days
Species Reactivity Human, Mouse, Rat
Format Antigen affinity purified
Host Rabbit
Clonality Polyclonal (rabbit origin)
Isotype Rabbit IgG
Purity Antigen affinity purified
Buffer Lyophilized from 1X PBS with 2% Trehalose
UniProt Q15366
Localization Cytoplasmic, nuclear
Applications Western Blot : 0.5-1ug/ml
Immunofluorescence : 5ug/ml
Flow Cytometry : 1-3ug/million cells
Direct ELISA : 0.1-0.5ug/ml
Limitations This hnRNP E2 antibody is available for research use only.
Review this product on BioCompare and get a $20 Amazon gift card

Related Products

Description

Poly(rC)-binding protein 2, also called Heterogeneous nuclear ribonucleoprotein E2 (hnRNP E2), is a protein that in humans is encoded by the PCBP2 gene. The protein encoded by this gene appears to be multifunctional. Along with PCBP-1 and hnRNPK, it is one of the major cellular poly(rC)-binding proteins. The encoded protein contains three K-homologous (KH) domains which may be involved in RNA binding. Together with PCBP-1, this protein also functions as a translational coactivator of poliovirus RNA via a sequence-specific interaction with stem-loop IV of the IRES, promoting poliovirus RNA replication by binding to its 5'-terminal cloverleaf structure. It has also been implicated in translational control of the 15-lipoxygenase mRNA, human papillomavirus type 16 L2 mRNA, and hepatitis A virus RNA. The encoded protein is also suggested to play a part in formation of a sequence-specific alpha-globin mRNP complex which is associated with alpha-globin mRNA stability. This multiexon structural mRNA is thought to be retrotransposed to generate PCBP-1, an intronless gene with functions similar to that of PCBP2. This gene and PCBP-1 have paralogous genes (PCBP3 and PCBP4) which are thought to have arisen as a result of duplication events of entire genes. This gene also has two processed pseudogenes (PCBP2P1 and PCBP2P2). Multiple transcript variants encoding different isoforms have been found for this gene.

Application Notes

Optimal dilution of the hnRNP E2 antibody should be determined by the researcher.

Immunogen

E. coli-derived recombinant human protein (amino acids D136-K276) was used as the immunogen for the hnRNP E2 antibody.

Storage

After reconstitution, the hnRNP E2 antibody can be stored for up to one month at 4oC. For long-term, aliquot and store at -20oC. Avoid repeated freezing and thawing.

Cross
Bulk Quote Request Form
Name*:
Organization*:
Email*:
Phone Number*:
Catalog No.*:
Comments and Specifics(amount, formulation, etc.)*:
Validation code: Captchapackage Image


Can't read the image? click here to refresh.
    *required field

Your bulk quote request has been submitted successfully!

Please contact us if you have any questions.