• Tel: 858.663.9055
  • SeparatorEmail: info@nsjbio.com
  • Tel: 858.663.9055
  • Email: info@nsjbio.com
Home >> Antibodies >> TCF2 Antibody / HNF1B

TCF2 Antibody / HNF1B [clone HNF1B/9519] (V6008)

  Catalog No Formulation Size Price (USD)  
Image V6008-100UG 0.2 mg/ml in 1X PBS with 0.05% BSA, 0.05% sodium azide 100 ug 559
Image
V6008-20UG 0.2 mg/ml in 1X PBS with 0.05% BSA, 0.05% sodium azide 20 ug 259
Image
V6008SAF-100UG 1 mg/ml in 1X PBS; BSA free, sodium azide free 100 ug 559
Bulk quote request
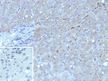
Immunohistochemistry analysis of TCF2 / HNF1B antibody in human liver carcinoma tissue (clone HNF1B/9519). FFPE human liver carcinoma sections show HRP-DAB brown nuclear staining in scattered tumor epithelial cells, consistent with nuclear localization of Hepatocyte nuclear factor 1 beta. Surrounding stromal areas demonstrate minimal to absent staining. The inset shows PBS used in place of primary antibody as a secondary antibody negative control, confirming absence of specific brown signal. Heat induced epitope retrieval was performed in 10 mM Tris with 1 mM EDTA, pH 9.0, by heating tissue sections at 95oC for 45 minutes followed by cooling at room temperature for 20 minutes prior to antibody incubation.
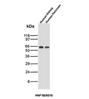
Western blot analysis of TCF2/HNF1B antibody in human kidney and human pancreas tissue lysates (clone HNF1B/9519). A distinct immunoreactive band is observed at approximately 60-65 kDa in both human kidney and human pancreas samples, consistent with the predicted molecular weight of Hepatocyte nuclear factor 1 beta. Band intensity is comparable between tissues, reflecting known epithelial expression in renal tubular and pancreatic ductal cells. No significant non-specific bands are detected under the conditions tested. Molecular weight markers are shown at left.
SDS-PAGE Analysis of Purified TCF2/HNF1B antibody (HNF1B/9519). Confirmation of Purity and Integrity of Antibody.
Species Reactivity Human
Format Purified
Host Mouse
Clonality Monoclonal (mouse origin)
Isotype Mouse IgG2b, kappa
Clone Name HNF1B/9519
UniProt P35680
Localization Nucleus
Applications Immunohistochemistry (FFPE) : 1-2ug/ml
Limitations This TCF2/HNF1B antibody is available for research use only.
Review this product on BioCompare and get a $20 Amazon gift card

Related Products

  • Applications : IHC
    Reactivity : Human
  • Applications : WB
    Reactivity : Human, Mouse, Rat
  • Applications : WB, ELISA
    Reactivity : Human
    Pred. Reactivity : Mouse, Rat
  • Applications : WB, ELISA (peptide)
    Reactivity : Human
    Pred. Reactivity : Cow, Dog, Mouse, Pig, Rat, Zebrafish
  • Applications : WB
    Reactivity : Human, Rat

Description

TCF2 antibody, also known as Hepatocyte nuclear factor 1 beta antibody, recognizes a homeodomain-containing transcription factor encoded by the HNF1B gene. This protein is commonly referred to as HNF1 beta and was historically described as TCF2 in early genetic studies. HNF1B is a nuclear transcription factor that regulates gene expression during embryonic development and adult tissue homeostasis, particularly in liver, kidney, pancreas, and genitourinary epithelium.

HNF1B belongs to the homeodomain-containing transcription factor family and functions as either a homodimer or heterodimer with HNF1A. It binds specific DNA promoter sequences and regulates genes involved in epithelial differentiation, glucose metabolism, and organ morphogenesis. The protein contains a dimerization domain, a POU-specific DNA binding domain, and a transactivation domain that mediates transcriptional regulation of downstream targets.

During development, HNF1B plays a critical role in renal tubulogenesis, pancreatic organogenesis, and hepatobiliary differentiation. It is highly expressed in renal tubular epithelial cells, bile ducts, pancreatic ductal cells, and certain epithelial-derived tissues. Disruption of HNF1B expression alters nephron segmentation and epithelial polarity, highlighting its role in tissue architecture and functional maturation.

Clinically, mutations in HNF1B are associated with Renal cysts and diabetes syndrome, also known as MODY5, as well as congenital abnormalities of the kidney and urinary tract. Loss or altered expression has also been described in subsets of renal cell carcinoma and gynecologic malignancies. Because of its consistent nuclear localization and epithelial lineage specificity, TCF2 antibody is widely used for evaluating HNF1B expression in developmental biology and oncology research.

In normal tissues, HNF1B localizes predominantly to the nucleus, consistent with its transcription factor function. Altered nuclear expression patterns may reflect dysregulation of epithelial differentiation programs. A TCF2 antibody can be used in research applications to detect HNF1B protein expression in relevant experimental systems.

Application Notes

Optimal dilution of the TCF2/HNF1B antibody should be determined by the researcher.

Immunogen

A recombinant fragment (around amino acids 1-200) of human HNF1B protein (exact sequence is proprietary) was used as the immunogen for the TCF2/HNF1B antibody.

Storage

TCF2/HNF1B antibody with sodium azide - store at 2 to 8oC; antibody without sodium azide - store at -20 to -80oC.

Cross
Bulk Quote Request Form
Name*:
Organization*:
Email*:
Phone Number*:
Catalog No.*:
Comments and Specifics(amount, formulation, etc.)*:
Validation code: Captchapackage Image


Can't read the image? click here to refresh.
    *required field

Your bulk quote request has been submitted successfully!

Please contact us if you have any questions.