• Tel: 858.663.9055
  • SeparatorEmail: info@nsjbio.com
  • Tel: 858.663.9055
  • Email: info@nsjbio.com
Home >> Antibodies >> HMW Cytokeratin Antibody / Basic / Type II

HMW Cytokeratin Antibody / Basic / Type II [clone 34BE12] (V2327)

  Catalog No Formulation Size Price (USD)  
Image V2327-100UG 0.2 mg/ml in 1X PBS with 0.1 mg/ml BSA (US sourced) and 0.05% sodium azide 100 ug 559
Image
V2327-20UG 0.2 mg/ml in 1X PBS with 0.1 mg/ml BSA (US sourced) and 0.05% sodium azide 20 259
Image
V2327SAF-100UG 1 mg/ml in 1X PBS; BSA free, sodium azide free 100 559
Image
V2327IHC-7ML Prediluted in 1X PBS with 0.1 mg/ml BSA (US sourced) and 0.05% sodium azide; *For IHC use only* 7 559
Bulk quote request
Western blot testing of human MCF7 cell lysate with HMW Cytokeratin antibody (clone 34BE12).
Immunofluorescent staining of MeOH-fixed human HeLa cells with HMW Cytokeratin antibody (clone 34BE12, green) and Reddot nuclear stain (red).
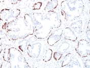
IHC staining of FFPE human prostate tissue with HMW Cytokeratin antibody (clone 34BE12). HIER: boil tissue sections in pH 9 10mM Tris with 1mM EDTA for 20 min and allow to cool before testing.
IHC staining of FFPE human prostate tissue with HMW Cytokeratin antibody (clone 34BE12). HIER: boil tissue sections in pH 9 10mM Tris with 1mM EDTA for 20 min and allow to cool before testing.
SDS-PAGE analysis of purified, BSA-free HMW Cytokeratin antibody (clone 34BE12) as confirmation of integrity and purity.
Species Reactivity Human, Mouse, Rat
Format Purified
Host Mouse
Clonality Monoclonal (mouse origin)
Isotype Mouse IgG1, kappa
Clone Name 34BE12
Purity Protein G affinity chromatography
Buffer 1X PBS, pH 7.4
Gene ID 3848
Localization Cytoplasmic
Applications Flow Cytometry : 1-2ug/10^6 cells
Immunofluorescence : 1-2ug/ml
Western Blot : 1-2ug/ml
Immunohistochemistry (FFPE) : 0.25-0.5ug/ml for 30 min at RT
Limitations This HMW Cytokeratin antibody is available for research use only.
Review this product on BioCompare and get a $20 Amazon gift card

Related Products

Description

HMW Cytokeratin antibody clone 34BE12 is a monoclonal antibody specific for high molecular weight cytokeratins, a group of keratin proteins expressed in stratified epithelia. These include cytokeratins such as CK1, CK5, CK10, and CK14, which form the structural framework of squamous epithelial cells. High molecular weight cytokeratins provide resilience against mechanical stress and are reliable markers of squamous cell differentiation. NSJ Bioreagents supplies HMW Cytokeratin antibody clone 34BE12 for applications in epithelial biology, developmental studies, and cancer pathology.

HMW Cytokeratin antibody clone 34BE12 produces strong cytoplasmic staining in stratified squamous epithelia, including epidermis, esophagus, and cervix. In pathology, clone 34BE12 is frequently used to identify squamous cell carcinomas, distinguishing them from adenocarcinomas and other tumor types. Its high specificity for squamous epithelia makes it indispensable in diagnostic immunohistochemistry.

In cancer biology, HMW Cytokeratin antibody clone 34BE12 is applied to classify tumors by lineage and differentiation status. It has particular value in detecting basal and squamous differentiation in prostate and lung cancers, where it helps pathologists confirm tumor subtype and origin. Detection of high molecular weight cytokeratins also assists in evaluating tumor grade and aggressiveness.

In cell biology and developmental research, HMW Cytokeratin antibody clone 34BE12 supports studies of epithelial maturation and keratin network assembly. High molecular weight cytokeratins are critical for maintaining epithelial integrity, and their expression patterns shift during tissue development and disease. Clone 34BE12 has been used to track these changes, helping to clarify how epithelial differentiation is regulated.

HMW Cytokeratin antibody clone 34BE12 has also been used in regenerative medicine to identify progenitor and basal cell populations. Because basal cells express high molecular weight keratins, detection with this antibody enables researchers to assess tissue renewal and repair processes.

Validated for tissue and cell-based studies, HMW Cytokeratin antibody clone 34BE12 consistently delivers robust cytoplasmic staining. It has a strong record of citation in epithelial pathology and cancer research. Alternate names include high molecular weight keratin antibody, basal cell keratin antibody, squamous marker antibody, and CK34BE12 antibody.

Application Notes

The concentration stated for each application is a general starting point. Variations in protocols, secondaries and substrates may require the HMW Cytokeratin antibody to be titered up or down for optimal performance.

1. Staining of formalin-fixed tissues requires boiling tissue sections in 10mM citrate buffer, pH 6.0, for 10-20 min followed by cooling at RT for 20 minutes.
2. The prediluted format is supplied in a dropper bottle and is optimized for use in IHC. After epitope retrieval step (if required), drip mAb solution onto the tissue section and incubate at RT for 30 min.

Immunogen

Solubilized keratin extract from human stratum corneum was used as the immunogen for this HMW Cytokeratin antibody.

Storage

Store the HMW Cytokeratin antibody at 2-8oC (with azide) or aliquot and store at -20oC or colder (without azide).

Cross
Bulk Quote Request Form
Name*:
Organization*:
Email*:
Phone Number*:
Catalog No.*:
Comments and Specifics(amount, formulation, etc.)*:
Validation code: Captchapackage Image


Can't read the image? click here to refresh.
    *required field

Your bulk quote request has been submitted successfully!

Please contact us if you have any questions.