• Tel: 858.663.9055
  • SeparatorEmail: info@nsjbio.com
  • Tel: 858.663.9055
  • Email: info@nsjbio.com
Home >> Antibodies >> HMG4 Antibody / HMGB3

HMG4 Antibody / HMGB3 (R31810)

  Catalog No Formulation Size Price (USD)  
Image R31810 0.5mg/ml if reconstituted with 0.2ml sterile DI water 100 ug 449
Bulk quote request
Western blot testing of 1) mouse liver, 2) mouse kidney, 3) mouse testis, 4) human 22RV1, 5) human MCF7 and 6) mouse NIH3T3 lysate with HMG4 antibody. Expected/observed molecular weight ~23 kDa.
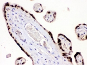
IHC testing of FFPE human placenta with HMG4 antibody. HIER: Boil the paraffin sections in pH 6, 10mM citrate buffer for 20 minutes and allow to cool prior to staining.
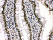
IHC testing of FFPE mouse intestine with HMG4 antibody. HIER: Boil the paraffin sections in pH 6, 10mM citrate buffer for 20 minutes and allow to cool prior to staining.
IHC testing of FFPE rat intestine with HMG4 antibody. HIER: Boil the paraffin sections in pH 6, 10mM citrate buffer for 20 minutes and allow to cool prior to staining.
Availability 1-3 business days
Species Reactivity Human, Mouse, Rat
Format Antigen affinity purified
Host Rabbit
Clonality Polyclonal (rabbit origin)
Isotype Rabbit IgG
Purity Antigen affinity
Buffer Lyophilized from 1X PBS with 2.5% BSA and 0.025% sodium azide
UniProt O15347
Localization Nuclear
Applications Western Blot : 0.1-0.5ug/ml
IHC (FFPE) : 0.5-1ug/ml
Limitations This HMG4 antibody is available for research use only.
Review this product on BioCompare and get a $20 Amazon gift card

Related Products

Description

High-mobility group protein B, also known as HMG4, is a protein that in humans is encoded by the HMGB3 gene. This gene encodes a member of a family of proteins containing one or more high mobility group DNA-binding motifs. The encoded protein plays an important role in maintaining stem cell populations, and may be aberrantly expressed in tumor cells. A mutation in this gene was associated with microphthalmia, syndromic 13. There are numerous pseudogenes of this gene on multiple chromosomes. Alternative splicing results in multiple transcript variants.

Application Notes

Optimal dilution of the HMG4 antibody should be determined by the researcher.

Immunogen

Amino acids EMAKADKVRYDREMKDYGPAKGGKKKKDPNAPKR of human HMG4 were used as the immunogen for the HMG4 antibody.

Storage

After reconstitution, the HMG4 antibody can be stored for up to one month at 4oC. For long-term, aliquot and store at -20oC. Avoid repeated freezing and thawing.

Cross
Bulk Quote Request Form
Name*:
Organization*:
Email*:
Phone Number*:
Catalog No.*:
Comments and Specifics(amount, formulation, etc.)*:
Validation code: Captchapackage Image


Can't read the image? click here to refresh.
    *required field

Your bulk quote request has been submitted successfully!

Please contact us if you have any questions.