• Tel: 858.663.9055
  • SeparatorEmail: info@nsjbio.com
  • Tel: 858.663.9055
  • Email: info@nsjbio.com
Home >> Antibodies >> HLTF Antibody / SMARCA3

HLTF Antibody / SMARCA3 (R32538)

  Catalog No Formulation Size Price (USD)  
Image R32538 0.5mg/ml if reconstituted with 0.2ml sterile DI water 100 ug 449
Bulk quote request
Immunofluorescent staining of FFPE human A549 cells with HLTF antibody (red) and Alpha Tubulin mAb (green). HIER: steam section in pH6 citrate buffer for 20 min.
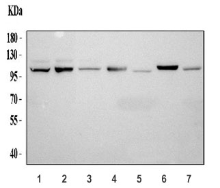
Western blot testing of 1) human HeLa, 2) human PANC1, 3) human A549, 4) rat heart, 5) rat kidney, 6) mouse heart and 7) mouse kidney tissue lysate with HLTF antibody at 0.5ug/ml. Predicted molecular weight: ~114 kDa.
Flow cytometry testing of human Caco-2 cells with HLTF antibody at 1ug/million cells (blocked with goat sera); Red=cells alone, Green=isotype control, Blue= HLTF antibody.
Availability 1-3 business days
Species Reactivity Human, Mouse, Rat
Format Antigen affinity purified
Host Rabbit
Clonality Polyclonal (rabbit origin)
Isotype Rabbit IgG
Purity Antigen affinity
Buffer Lyophilized from 1X PBS with 2.5% BSA and 0.025% sodium azide
UniProt Q14527
Localization Nuclear
Applications Western Blot : 0.5-1ug/ml
Immunofluorescence : 5ug/ml
Flow Cytometry : 1-3ug/million cells
Limitations This HLTF antibody is available for research use only.
Review this product on BioCompare and get a $20 Amazon gift card

Related Products

  • Applications : WB, ELISA (peptide)
    Reactivity : Human
    Pred. Reactivity : Cow, Dog, Mouse, Rat

Description

Helicase-like transcription factor is an enzyme that in humans is encoded by the HLTF gene. This gene encodes a member of the SWI/SNF family. Members of this family have helicase and ATPase activities and are thought to regulate transcription of certain genes by altering the chromatin structure around those genes. The encoded protein contains a RING finger DNA binding motif. Two transcript variants encoding the same protein have been found for this gene. However, use of an alternative translation start site produces an isoform that is truncated at the N-terminus compared to the full-length protein.

Application Notes

Differences in protocols and secondary/substrate sensitivity may require the HLTF antibody to be titrated for optimal performance.

Immunogen

Amino acids S911-L1009 from the human protein were used as the immunogen for the HLTF antibody.

Storage

After reconstitution, the HLTF antibody can be stored for up to one month at 4oC. For long-term, aliquot and store at -20oC. Avoid repeated freezing and thawing.

Cross
Bulk Quote Request Form
Name*:
Organization*:
Email*:
Phone Number*:
Catalog No.*:
Comments and Specifics(amount, formulation, etc.)*:
Validation code: Captchapackage Image


Can't read the image? click here to refresh.
    *required field

Your bulk quote request has been submitted successfully!

Please contact us if you have any questions.