• Tel: 858.663.9055
  • SeparatorEmail: info@nsjbio.com
  • Tel: 858.663.9055
  • Email: info@nsjbio.com
Home >> Antibodies >> HLA-E Antibody / MHC class I antigen E

HLA-E Antibody / MHC class I antigen E [clone HLAE/9468] (V5733)

  Catalog No Formulation Size Price (USD)  
Image V5733-100UG 0.2 mg/ml in 1X PBS with 0.1 mg/ml BSA (US sourced), 0.05% sodium azide 100 ug 559
Image
V5733-20UG 0.2 mg/ml in 1X PBS with 0.1 mg/ml BSA (US sourced), 0.05% sodium azide 20 ug 259
Image
V5733SAF-100UG 1 mg/ml in 1X PBS; BSA free, sodium azide free 100 ug 559
Bulk quote request
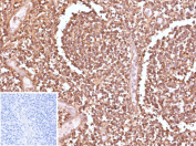
IHC staining of FFPE human tonsil tissue with HLA-E antibody (clone HLAE/9468). Inset: PBS used in place of primary Ab (secondary Ab negative control). HIER: boil tissue sections in pH 9 10mM Tris with 1mM EDTA for 20 min and allow to cool before testing.
SDS-PAGE analysis of purified, BSA-free HLA-E antibody (clone HLAE/9468) as confirmation of integrity and purity.
Availability 1-3 business days
Species Reactivity Human
Format Purified
Host Mouse
Clonality Monoclonal (mouse origin)
Isotype Mouse IgG2, kappa
Clone Name HLAE/9468
Purity Protein G affinity
UniProt P13747
Localization Secreted
Applications Immunohistochemistry (FFPE) : 1-2ug/ml
Limitations This HLA-E antibody is available for research use only.
Review this product on BioCompare and get a $20 Amazon gift card

Related Products

Description

Major histocompatibility complex (MHC) molecules, which include human leukocyte antigens (HLAs), form an integral part of the immune response system. They are cell-surface receptors that bind foreign peptides and present them to cytotoxic T lymphocytes (CTLs). MHC class I molecules consist of two polypeptide chains, an a or heavy chain and a non-covalently associated protein, b-2-Microglobulin. The differential structural properties of MHC class I and class II molecules account for their respective roles in activating different populations of T lymphocytes. HLA-A is a MHC class I heavy chain molecule that plays a central role in the immune system by presenting peptides derived from the endoplasmic reticulum lumen. HLA-B and HLA-C are proteins encoded by closely related genes that also exist in the MHC class I. HLA-E belongs to the HLA class I heavy chain paralogs. HLA-E is a heterodimer consisting of a heavy chain and a light chain. The heavy chain is anchored in the membrane. HLA-E binds a restricted subset of peptides derived from the leader peptides of other class I molecules.

Application Notes

Optimal dilution of the HLA-E antibody should be determined by the researcher.

Immunogen

A portion of amino acids 1-150 from human HLAE protein was used as the immunogen for the HLA-E antibody.

Storage

Aliquot the HLA-E antibody and store frozen at -20oC or colder. Avoid repeated freeze-thaw cycles.

Cross
Bulk Quote Request Form
Name*:
Organization*:
Email*:
Phone Number*:
Catalog No.*:
Comments and Specifics(amount, formulation, etc.)*:
Validation code: Captchapackage Image


Can't read the image? click here to refresh.
    *required field

Your bulk quote request has been submitted successfully!

Please contact us if you have any questions.