• Tel: 858.663.9055
  • SeparatorEmail: info@nsjbio.com
  • Tel: 858.663.9055
  • Email: info@nsjbio.com
Home >> Antibodies >> HLA-E Antibody / HLA class I histocompatibility antigen E

HLA-E Antibody / HLA class I histocompatibility antigen E [clone HLAE/9467] (V5909)

  Catalog No Formulation Size Price (USD)  
Image V5909-100UG 0.2 mg/ml in 1X PBS with 0.05% BSA, 0.05% sodium azide 100 ug 559
Image
V5909-20UG 0.2 mg/ml in 1X PBS with 0.05% BSA, 0.05% sodium azide 20 ug 259
Image
V5909SAF-100UG 1 mg/ml in 1X PBS; BSA free, sodium azide free 100 ug 559
Bulk quote request
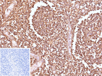
Formalin-fixed, paraffin-embedded human tonsil stained with HLA-E/HLA class I histocompatibility antigen E antibody (clone HLAE/9467). Lymphoid cells within tonsillar follicles and interfollicular regions show membranous and cytoplasmic brown chromogenic staining, consistent with HLA-E expression in immune cell populations, while nuclei are counterstained blue. Inset shows a PBS-only negative control processed without primary antibody, demonstrating minimal non-specific background staining.
Western blot analysis of HEK293 cell lysate probed with HLA-E/HLA class I histocompatibility antigen E antibody (HLAE/9467). A doublet is observed around the predicted molecular weight of ~40-45 kDa, consistent with detection of HLA class I histocompatibility antigen E heavy chains with different post-translational forms (e.g., glycosylation or peptide association). This doublet pattern, rather than a single sharp band, aligns with known heterogeneous processing of HLA class I molecules and reflects specific recognition of HLA-E heavy chain variants.
SDS-PAGE Analysis of purified HLA-E/HLA class I histocompatibility antigen E antibody (clone HLAE/9467). Confirmation of Purity and Integrity of Antibody.
Species Reactivity Human
Format Purified
Host Mouse
Clonality Monoclonal (mouse origin)
Isotype Mouse IgG2b, kappa
Clone Name HLAE/9467
UniProt P13747
Localization Cell membrane, Secreted
Applications Immunohistochemistry (FFPE) : 1-2ug/ml
Western Blot : 2-4ug/ml
Limitations This HLA-E/HLA class I histocompatibility antigen E antibody is available for research use only.
Review this product on BioCompare and get a $20 Amazon gift card

Related Products

Description

HLA-E antibody targets HLA class I histocompatibility antigen E, a non-classical major histocompatibility complex class I molecule encoded by the HLA-E gene. HLA-E is primarily localized to the cell surface and functions as an important immune regulatory molecule rather than a classical antigen-presenting HLA protein. Unlike highly polymorphic classical HLA class I molecules such as HLA-A, HLA-B, and HLA-C, HLA-E shows limited polymorphism and serves specialized roles in innate and adaptive immune surveillance.

HLA class I histocompatibility antigen E is best known for its interaction with inhibitory and activating receptors on natural killer (NK) cells, particularly the CD94/NKG2 receptor family. By presenting a restricted set of leader sequence-derived peptides from other HLA class I molecules, HLA-E delivers inhibitory signals through CD94/NKG2A, thereby protecting healthy cells from NK cell-mediated cytotoxicity. For this reason, HLA-E is often described as a non-classical MHC class I molecule and a key ligand involved in immune tolerance and self-recognition. An HLA-E antibody is therefore widely used in studies of NK cell biology and immune checkpoint regulation.

Beyond NK cell regulation, HLA-E also participates in antigen presentation to subsets of CD8-positive T cells. Certain HLA-E-restricted T cells recognize pathogen-derived peptides, linking HLA-E to antimicrobial and antiviral immune responses. Expression of HLA-E can be upregulated by inflammatory cytokines and cellular stress, further emphasizing its role at the intersection of innate and adaptive immunity. Use of an HLA-E antibody enables investigation of these context-dependent expression patterns in both normal and disease-associated tissues.

HLA-E expression has gained particular relevance in cancer immunology. Many tumors upregulate HLA class I histocompatibility antigen E as a mechanism of immune evasion, exploiting its inhibitory signaling to suppress NK cell activity. Elevated HLA-E expression has been reported in multiple solid tumors and hematologic malignancies, where it may contribute to reduced immune-mediated tumor clearance. An HLA-E antibody is therefore an important research tool for studying tumor immune escape mechanisms and for evaluating immune checkpoint pathways beyond classical PD-1 or CTLA-4 signaling.

At the structural level, HLA-E associates with beta-2 microglobulin and binds short peptides derived predominantly from signal sequences of other HLA class I proteins. This restricted peptide repertoire distinguishes HLA-E from classical MHC class I molecules and underlies its specialized immune regulatory function. Because of its defined biology and clinical relevance, HLA-E is frequently examined in studies of transplantation, viral infection, inflammatory disease, and cancer immunotherapy.

Clone HLAE/9467 is designed to recognize HLA class I histocompatibility antigen E and supports detection of HLA-E expression in research applications. NSJ Bioreagents offers this HLA-E antibody to support investigations into NK cell regulation, immune tolerance, tumor immunology, and non-classical MHC class I biology.

Application Notes

Optimal dilution of the HLA-E/HLA class I histocompatibility antigen E antibody should be determined by the researcher.

Immunogen

A recombinant fragment (around amino acids 1-200) of human HLAE protein (exact sequence is proprietary) was used as the immunogen for the HLA-E/HLA class I histocompatibility antigen E antibody.

Storage

HLA-E/HLA class I histocompatibility antigen E antibody with sodium azide - store at 2 to 8oC; antibody without sodium azide - store at -20 to -80oC.

Cross
Bulk Quote Request Form
Name*:
Organization*:
Email*:
Phone Number*:
Catalog No.*:
Comments and Specifics(amount, formulation, etc.)*:
Validation code: Captchapackage Image


Can't read the image? click here to refresh.
    *required field

Your bulk quote request has been submitted successfully!

Please contact us if you have any questions.