• Tel: 858.663.9055
  • SeparatorEmail: info@nsjbio.com
  • Tel: 858.663.9055
  • Email: info@nsjbio.com
Home >> Antibodies >> HLA-DRB1 Antibody for WB HLA-DRB/1067 / HLA-DRB1 Western Blot Antibody

HLA-DRB1 Antibody for WB HLA-DRB/1067 / HLA-DRB1 Western Blot Antibody [clone HLA-DRB/1067] (V2590)

  Catalog No Formulation Size Price (USD)  
Image V2590-100UG 0.2 mg/ml in 1X PBS with 0.1 mg/ml BSA (US sourced) and 0.05% sodium azide 100 ug 559
Image
V2590-20UG 0.2 mg/ml in 1X PBS with 0.1 mg/ml BSA (US sourced) and 0.05% sodium azide 20 ug 259
Image
V2590SAF-100UG 1 mg/ml in 1X PBS; BSA free, sodium azide free 100 ug 559
Image
V2590IHC-7ML Prediluted in 1X PBS with 0.1 mg/ml BSA (US sourced) and 0.05% sodium azide; *For IHC use only* 7 ml 559
Bulk quote request
HLA-DRB1 Antibody for WB HLA-DRB/1067 western blot analysis of human samples. Western blot testing was performed using HLA-DRB1 Antibody for WB clone HLA-DRB/1067. Lane 1: human Ramos cell lysate, Lane 2: human spleen lysate. Bands are detected at approximately 28-32 kDa, consistent with the predicted molecular weight of HLA-DR beta chain / HLA-DRB1. The observed doublet likely reflects heterogeneous glycosylation or differentially processed forms of the HLA-DR beta chain commonly observed for MHC class II proteins in antigen-presenting immune cells.
Western blot Anaysis of Ramos cell Lyste using HLA-DRB1 antibody (HLA-DRB/1067). Predicted molecular weight ~30 kDa.
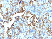
IHC: Formalin-fixed, paraffin-embedded human Histiocytoma stained with HLA-DRB antibody (clone HLA-DRB/1067).
IHC: Formalin-fixed, paraffin-embedded human tonsil stained with HLA-DRB antibody (clone HLA-DRB/1067).
Immunofluorescent staining of Raji cells with HLA-DRB1 antibody (green, clone HLA-DRB/1067) and Reddot nuclear stain (red).
FACS staining of Raji cells with HLA-DRB1 antibody (clone HLA-DRB/1067); Red=isotype control, Blue= HLA-DRB1 antibody.
Availability 1-3 business days
Species Reactivity Human
Format Purified
Host Mouse
Clonality Monoclonal (mouse origin)
Isotype Mouse IgG2b, kappa
Clone Name HLA-DRB/1067
Purity Protein G affinity chromatography
UniProt P01911
Localization Cell surface
Applications Flow Cytometry : 1-2ug/million cells
Immunofluorescence : 2-4ug/ml
Western Blot : 1-2ug/ml
Immunohistochemistry (FFPE) : 0.25-0.5ug/ml for 30 min at RT
Limitations This HLA-DRB1 antibody is available for research use only.
Review this product on BioCompare and get a $20 Amazon gift card

Related Products

Description

Major histocompatibility complex class II DR beta 1 (HLA-DRB1) is a component of the HLA-DR antigen receptor encoded by the HLA-DRB1 gene and forms the beta chain of the major histocompatibility complex class II heterodimer responsible for antigen presentation to CD4-positive T lymphocytes. HLA-DRB1 Antibody for WB enables detection of the HLA-DR beta chain by western blot, supporting analysis of MHC class II expression in immune cell lysates and experimental models studying antigen presentation pathways.

The HLA-DR antigen receptor is composed of two transmembrane chains, an alpha chain encoded by HLA-DRA and a beta chain encoded by HLA-DRB genes. Together these chains assemble to form a heterodimeric receptor located on the cell surface of antigen-presenting cells. This receptor binds peptide fragments generated from extracellular proteins processed within endosomal compartments and presents them to CD4-positive helper T lymphocytes. Through this process the HLA-DR complex plays a central role in adaptive immune activation and immune surveillance.

HLA-DRB1 represents the principal beta chain gene of the HLA-DR complex and is highly polymorphic across human populations. Numerous HLA-DRB1 allelic variants contribute to immune recognition diversity and influence susceptibility to autoimmune diseases and infectious diseases. Because the beta chain participates directly in peptide binding and antigen presentation, detection of HLA-DRB1 expression is commonly used to evaluate antigen-presenting cell activity and immune signaling pathways in experimental systems.

Western blot analysis provides a useful approach for evaluating HLA-DRB1 protein expression in cell lysates and tissue extracts containing antigen-presenting immune cells. Antibodies directed against the HLA-DR beta chain enable researchers to confirm the presence of MHC class II molecules and study regulation of antigen presentation pathways in immune cell lines and biological samples. Mouse monoclonal clone HLA-DRB/1067 recognizes the HLA-DR beta chain and supports detection of HLA-DRB1 protein in western blot experiments designed to analyze MHC class II expression and immune-related signaling mechanisms.

Application Notes

Optimal dilution of the HLA-DRB1 Antibody for WB HLA-DRB/1067 should be determined by the researcher.

1. Staining of formalin-fixed tissues is enhanced by boiling tissue sections in pH 9 10mM Tris with 1mM EDTA for 10-20 min followed by cooling at RT for 20 min
2. The prediluted format is supplied in a dropper bottle and is optimized for use in IHC. After epitope retrieval step (if required), drip mAb solution onto the tissue section and incubate at RT for 30 min.

Immunogen

Activated human peripheral blood mononuclear cells were used as the immunogen for the HLA-DRB1 antibody.

Storage

Store the HLA-DRB1 antibody at 2-8oC (with azide) or aliquot and store at -20oC or colder (without azide).

Alternate Names

HLA-DR beta antibody, HLA-DRB1 antibody, MHC class II DR beta antibody, HLA class II histocompatibility antigen DR beta antibody

Cross
Bulk Quote Request Form
Name*:
Organization*:
Email*:
Phone Number*:
Catalog No.*:
Comments and Specifics(amount, formulation, etc.)*:
Validation code: Captchapackage Image


Can't read the image? click here to refresh.
    *required field

Your bulk quote request has been submitted successfully!

Please contact us if you have any questions.