- Tel: 858.663.9055
- 
									 Email: info@nsjbio.com Email: info@nsjbio.com
- Tel: 858.663.9055
- Email: info@nsjbio.com
 Email: info@nsjbio.com
Email: info@nsjbio.com
								Related Products
| 
 | 
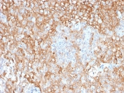
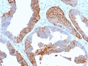
Major histocompatibility complex (MHC) class II molecules destined for presentation to CD4+ helper T cells is determined by two key events. These events include the dissociation of class II-associated invariant chain peptides (CLIP) from an antigen binding groove in MHC class II/ dimers through the activity of MHC molecules HLA-DM and -DO, and subsequent peptide antigen binding. Accumulating in endosomal/lysosomal compartments and on the surface of B cells, HLA-DM, -DO molecules regulate the dissociation of CLIP and the sub- sequent binding of exogenous peptides to HLA class II molecules (HLA-DR, -DQ and -DP) by sustaining a conformation that favors peptide exchange. RFLP analysis of HLA-DM genes from rheumatoid arthritis (RA) patients suggests that certain polymorphisms are genetic factors for RA susceptibility. HLA-B belongs to the HLA class I heavy chain paralogs. Class I molecules play a central role in the immune system by presenting peptides derived from the endoplasmic reticulum lumen. HLA-B and -C can form heterodimers consisting of a membrane anchored heavy chain and a light chain. Polymorphisms yield hundreds of HLA-B and -C alleles.
Optimal dilution of the HLA-DR antibody should be determined by the researcher.
1. The prediluted format is supplied in a dropper bottle and is optimized for use in IHC. After epitope retrieval step (if required), drip mAb solution onto the tissue section and incubate at RT for 30 min.
Human Bristol 8 cells were used as the immunogen for the HLA-DR antibody.
Store the HLA-DR antibody at 2-8oC (with azide) or aliquot and store at -20oC or colder (without azide).
 
Your bulk quote request has been submitted successfully!
Please contact us if you have any questions.