- Tel: 858.663.9055
- 
									 Email: info@nsjbio.com Email: info@nsjbio.com
- Tel: 858.663.9055
- Email: info@nsjbio.com
 Email: info@nsjbio.com
Email: info@nsjbio.com
								Related Products
| 
 | 
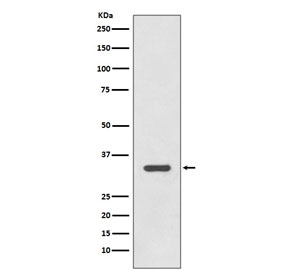
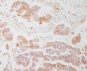
HLA-DRA is one of the HLA class II alpha chain paralogues. This class II molecule is a heterodimer consisting of an alpha and a beta chain, both anchored in the membrane. It plays a central role in the immune system by presenting peptides derived from extracellular proteins. [RefSeq]
Optimal dilution of the HLA-DR antibody should be determined by the researcher.
A synthetic peptide specific to human HLA-DR alpha was used as the immunogen for the HLA-DR antibody.
Store the HLA-DR antibody at -20oC.
 
Your bulk quote request has been submitted successfully!
Please contact us if you have any questions.